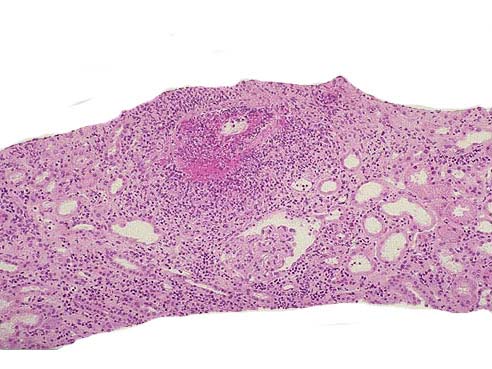
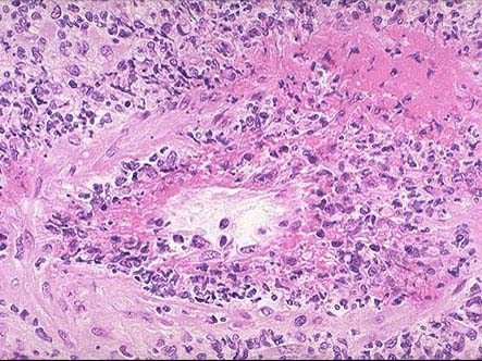
韦格氏肉芽肿患者病变部位镜下可出现如图所示改变,下列关于该病说法错误的是()。


A . 30~50岁多见,男性略多
B . 在动脉壁、动脉周围或血管外部区域出现肉芽肿炎症
C . 多数患者出现不同程度的肾小球肾炎
D . 肾脏病变常为局灶坏死性肾小球肾炎伴新月体形成
E . 严重者可引起急性肾功能衰竭
[单选题]韦格氏肉芽肿患者病变部位镜下可出现如图所示改变,下列关于该病说法错误的是()A . 30~50岁多见,男性略多B . 在动脉壁、动脉周围或血管外部区域出现肉芽肿炎症C . 多数患者出现不同程度的肾小球肾炎D . 肾脏病变常为局灶坏死性肾小球肾炎伴新月体形成E . 严重者可引起急性肾功能衰竭
[单选题]韦格氏肉芽肿患者病变部位镜下可出现如图所示改变,下列关于该病说法错误的是()A.30~50岁多见,男性略多B.在动脉壁、动脉周围或血管外部区域出现肉芽
[问答题] 何谓韦格内氏肉芽肿?
[单选题]关于韦格纳肉芽肿,叙述错误的是A.90%为胞质型抗中性粒细胞胞质抗体(cANCA)阳性B.90%为核周型抗中性粒细胞胞质抗体(pANCA)阳性C.无肾
[单选题]关于韦格纳肉芽肿,叙述错误的是()。A . 90%为胞质型抗中性粒细胞胞质抗体(cANCA.阳性B . 90%为核周型抗中性粒细胞胞质抗体(pANCA.阳性C . 无肾损害者70%cANCA阳性D . 可用糖皮质激素治疗E . 免疫抑制剂中首选环磷酰胺
[单选题]关于韦格纳肉芽肿病,叙述错误的是A.可见皮肤丘疹、结节、溃疡、淤点及淤斑B.常有上呼吸道损害C.大血管发生纤维素样坏死D.有坏死性肉芽肿形成E.可见多
[单选题]肺韦格氏肉芽肿CT扫描征象不包括()A .双侧肺内光滑的薄壁空洞病变B .双侧肺内粗糙的厚壁空洞病变C .空洞病变多见于双侧肺上叶D .双侧肺大小不等多发结节E .双侧肺网状结节阴影
[单选题]关于韦格纳肉芽肿的病理表现,叙述错误的是()A.病损由中性粒细胞、单核细胞、淋巴细胞及上皮样细胞组成B.血管呈现以坏死为主的炎症,血管壁类纤维蛋白性变
[多选题]关于韦格纳肉芽肿,叙述正确的是A.上呼吸道和肺最常受累B.可以累及肝和肾C.可以累及神经系统D.常出现抗PR3抗体阳性E.常出现抗MPO抗体阳性
[多选题]关于韦格纳肉芽肿,叙述正确的是A.上呼吸道和肺最常受累B.可以累及肝和肾C.可以累及神经系统D.常出现抗PR3抗体阳性E.常出现抗MPO抗体阳性