女,46岁,胸痛,乳腺癌放、化疗术后,结合图像,最可能的诊断是()
A . 化脓性骨髓炎
B . 胸骨坏死
C . 成骨性骨转移瘤
D . 胸骨结核
E . 以上都不正确
[单选题]女,46岁,胸痛,乳腺癌放、化疗术后,结合图像,最可能的诊断是()A .化脓性骨髓炎B .胸骨坏死C .成骨性骨转移瘤D .胸骨结核E .以上都不正确
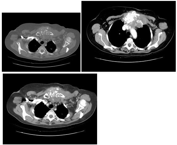
[单选题]女,56岁,乳腺癌手术后,未行化疗,结合CT图像,最可能的诊断是()A .肺转移癌B .肺结核C .间质性肺炎D .肺结节病E .肺曲菌病
[单选题]患者女,56岁,乳腺癌手术后,未行化疗,结合CT图像,最可能的诊断是A.肺转移瘤B.肺结核C.间质性肺炎D.肺结节病E.肺曲菌病
[单选题]女,56岁,乳腺癌手术后,未行化疗,结合CT图像,选择最可能的诊断是()A . 肺转移癌B . 肺结核C . 间质性肺炎D . 肺结节病E . 肺曲菌病
[单选题]女,56岁,乳腺癌手术后,未行化疗,结合CT图像,选择最可能的诊断是()A .肺转移癌B .肺结核C .间质性肺炎D .肺结节病E .肺曲菌病
[单选题]患者女,56岁,乳腺癌手术后,未行化疗,结合CT图像,最可能的诊断是()A . 肺转移瘤B . 肺结核C . 间质性肺炎D . 肺结节病E . 肺曲菌病
[单选题]患者女,56岁,乳腺癌手术后,未行化疗,结合CT图像,最可能的诊断是()。A . 肺转移瘤B . 肺结核C . 间质性肺炎D . 肺结节病E . 肺曲菌病
[单选题]患者女,56岁,乳腺癌手术后,未行化疗,结合CT图像,最可能的诊断是( )。图1图2A.肺转移瘤B.肺结核C.间质性肺炎D.肺结节病E.肺曲菌病
[单选题]女,56岁,乳腺癌手术后,未行化疗,结合CT图像,选择最可能的诊断是()A.肺转移癌B.肺结核C.间质性肺炎D.肺结节病E.肺曲菌病
[单选题]患者女,56岁,乳腺癌手术后,未行化疗,结合CT图像,最可能的诊断是A.肺转移瘤B.肺结核C.间质性肺炎D.肺结节病E.肺曲菌病