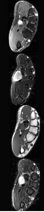
男,35岁,掌底有肿块,结合图像,最可能的诊断是()
A .囊肿
B .脓肿
C .神经纤维瘤
D .神经鞘瘤
E .未见异常
[单选题]男,35岁,掌底有肿块,结合图像,最可能的诊断是()A . 囊肿B . 脓肿C . 神经纤维瘤D . 神经鞘瘤E . 未见异常
[单选题]男,35岁,掌底有肿块,结合图像,最可能的诊断是().A . 囊肿B . 脓肿C . 神经纤维瘤D . 神经鞘瘤E . 未见异常
[单选题]35岁,男,结合图像,最可能的诊断是()A .淋巴瘤B .生殖细胞瘤C .浆细胞瘤D .脂肪肉瘤E .转移癌
[单选题]35岁,男,结合图像,最可能的诊断是()A . 淋巴瘤B . 生殖细胞瘤C . 浆细胞瘤D . 脂肪肉瘤E . 转移癌
[单选题]男,35岁,掌底有肿块,结合图像,最可能的诊断是()A.囊肿B.脓肿C.神经纤维瘤D.神经鞘瘤E.未见异常
[单选题]男,5岁,左膝肿块,轻度压痛,结合图像,最可能的诊断是()A . 股骨骨骺多发性骨软骨瘤B . 骨旁骨瘤C . 骨旁骨肉瘤D . 皮质旁软骨瘤E . 以上都不正确
[单选题]男,38岁,上臂肿块1年,结合图像,最可能的诊断是()A . 未见异常B . 肌内脂肪瘤C . 血管瘤D . 肌内感染E . 肌内囊肿
[单选题]男,38岁,上臂肿块1年,结合图像,最可能的诊断是()A .未见异常B .肌内脂肪瘤C .血管瘤D .肌内感染E .肌内囊肿
[单选题]男,69岁,腕部肿块1年,结合图像,最可能的诊断是()A . 腕部腱鞘囊肿B . 腕部腱鞘脓肿C . 腱鞘巨细胞瘤D . 肌内脂肪瘤E . 未见异常
[单选题]男,5岁,左膝肿块,轻度压痛,结合图像,最可能的诊断是()A .股骨骨骺多发性骨软骨瘤B .骨旁骨瘤C .骨旁骨肉瘤D .皮质旁软骨瘤E .以上都不正确