[填空题]

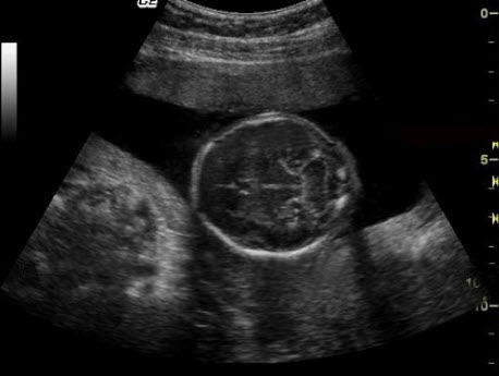
如图,为一胎儿中脑-小脑切面,胎儿应该属于早、中、晚孕哪一阶段______。

 

参考答案与解析:

相关试题

大学生属于哪一阶段()

[单选题]大学生属于哪一阶段()A .成长阶段B .探索阶段C .确定阶段D .维持阶段

  • 查看答案
  • 多胎妊娠中,属于剖宫产的适应征是A、孕龄≥34周,第一胎儿臀位B、笫一个胎儿头位

    [单选题]多胎妊娠中,属于剖宫产的适应征是A.孕龄≥34周,第一胎儿臀位B.笫一个胎儿头位,第二胎儿横位,胎儿体重≤3000g,产妇一般情况均正常C.胎龄≥34周合并有前置胎盘者D.胎龄≥35周E.联体双胎

  • 查看答案
  • 多胎妊娠中,属于剖宫产的适应征是A、孕龄≥34周,第一胎儿臀位B、第一个胎儿头位

    [单选题]多胎妊娠中,属于剖宫产的适应征是A.孕龄≥34周,第一胎儿臀位B.第一个胎儿头位,第二胎儿横位,胎儿体重≤3000g,产妇一般情况均正常C.胎龄≥34周合并有前置胎盘者D.胎龄≥35周E.联体双胎

  • 查看答案
  • 某女,第一胎,孕38周,双胎。第一胎儿为臀位脐带脱垂,臀牵引娩出,第二胎儿头位自

    [单选题,A4型题,A3/A4型题] 某女,第一胎,孕38周,双胎。第一胎儿为臀位脐带脱垂,臀牵引娩出,第二胎儿头位自娩,产后25分钟突然阴道出血250ml,胎盘尚无剥离迹象。该产妇最及时的处理是()A .观察胎盘剥离迹象,按摩子宫并拉出胎盘B .手取胎盘C .牵拉脐带,挤压宫底,迫使胎盘娩出D .检查软产道,排除损伤E .肌注缩宫素

  • 查看答案
  • 双胎妊娠若一胎儿死亡,一胎儿存活。如继续妊娠必须监测().

    [多选题] 双胎妊娠若一胎儿死亡,一胎儿存活。如继续妊娠必须监测().A . 母体生命体征B . 母体凝血功能C . 存活胎儿的安危D . 尿常规E . 无须监测,镇静休息

  • 查看答案
  • 双胎妊娠若一胎儿死亡,一胎儿存活。如继续妊娠必须监测()

    [多选题] 双胎妊娠若一胎儿死亡,一胎儿存活。如继续妊娠必须监测()A .母体生命体征B .母体凝血功能C .存活胎儿的安危D . D.尿常规E .无须监测,镇静休息

  • 查看答案
  • 双胎妊娠若一胎儿死亡,一胎儿存活。如继续妊娠必须监测()

    [多选题]双胎妊娠若一胎儿死亡,一胎儿存活。如继续妊娠必须监测()A.母体生命体征B.母体凝血功能C.存活胎儿的安危D.尿常规E.无须监测,镇静休息

  • 查看答案
  • 双胎妊娠若一胎儿死亡,一胎儿存活。如继续妊娠必须监测()

    [多选题]双胎妊娠若一胎儿死亡,一胎儿存活。如继续妊娠必须监测()A.母体生命体征B.母体凝血功能C.存活胎儿的安危D.尿常规E.无须监测,镇静休息

  • 查看答案
  • 双胎妊娠若一胎儿死亡,一胎儿存活。如继续妊娠必须监测()

    [多选题]双胎妊娠若一胎儿死亡,一胎儿存活。如继续妊娠必须监测()A.母体生命体征B.母体凝血功能C.存活胎儿的安危D.尿常规E.无须监测,镇静休息

  • 查看答案
  • 双胎妊娠若一胎儿死亡,一胎儿存活。如继续妊娠必须监测()

    [多选题]双胎妊娠若一胎儿死亡,一胎儿存活。如继续妊娠必须监测()A.母体生命体征B.母体凝血功能C.存活胎儿的安危D.尿常规E.无须监测,镇静休息

  • 查看答案
  • 如图,为一胎儿中脑-小脑切面,胎儿应该属于早、中、晚孕哪一阶段______。