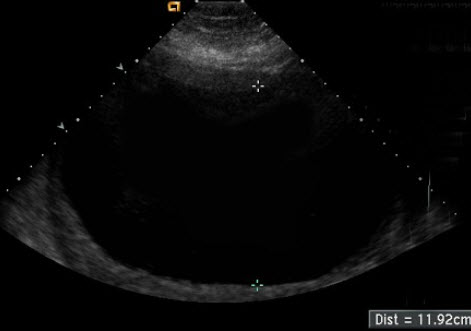
[填空题]

足月妊娠,B超显示如图,考虑_______。

参考答案与解析:

相关试题

女,26岁,停经35天,B超宫腔显示如图,可考虑_____。

[填空题] 女,26岁,停经35天,B超宫腔显示如图,可考虑_____。

  • 查看答案
  • B超可见妊娠环()

    [单选题,配伍题] B超可见妊娠环()A . 孕5周时B . 孕6周时开始C . 孕18~20周开始D . 孕20周后E . 孕24周

  • 查看答案
  • B超可见妊娠环()

    [单选题]B超可见妊娠环()A.孕5周时B.孕6周时开始C.孕18~20周开始D.孕20周后E.孕24周

  • 查看答案
  • 妊娠20周时B超发现为前置胎盘,在足月妊娠时,仍为前置胎盘的可能性应为下列哪项

    [单选题]妊娠20周时B超发现为前置胎盘,在足月妊娠时,仍为前置胎盘的可能性应为下列哪项A.<5%B.5%C.10%D.20%E.50%

  • 查看答案
  • 妊娠20周时B超发现为前置胎盘,在足月妊娠时,仍为前置胎盘的可能性应为下列哪项(

    [单选题,A2型题,A1/A2型题] 妊娠20周时B超发现为前置胎盘,在足月妊娠时,仍为前置胎盘的可能性应为下列哪项()A . <5%B . 5%C . 10%D . 20%E . 50%

  • 查看答案
  • 妊娠7周时出现阵发性下腹痛及多量阴道出血,子宫腔内B超结果如图,应首先考虑()

    [单选题]妊娠7周时出现阵发性下腹痛及多量阴道出血,子宫腔内B超结果如图,应首先考虑()A .先兆流产B .难免流产C .不全流产D .完全流产E .稽留流产

  • 查看答案
  • 过期妊娠需立即终止妊娠的指征是A、无应激试验为反应型B、B超显示羊水指数6cmC

    [单选题]过期妊娠需立即终止妊娠的指征是A.无应激试验为反应型B.B超显示羊水指数6cmC.Ⅲ度羊水粪染D.12小时胎动为15次E.尿雌激素/肌酐比值为16

  • 查看答案
  • 患者,女,35岁,已婚。妊娠4个月余,B超显示胎儿存活,但小于正常妊娠月份,身体

    [单选题]患者,女,35岁,已婚。妊娠4个月余,B超显示胎儿存活,但小于正常妊娠月份,身体羸弱,面色萎黄,纳少乏力,舌淡嫩少苔,脉细弱无力。其证候是A.气血虚弱B.脾肾阳虚C.脾胃虚弱D.肝肾不足E.气阴两亏

  • 查看答案
  • 患者,女,35岁,已婚。妊娠4个月余,B超显示胎儿存活,但小于正常妊娠月份,身体

    [单选题]患者,女,35岁,已婚。妊娠4个月余,B超显示胎儿存活,但小于正常妊娠月份,身体羸弱,面色萎黄,纳少乏力,舌淡嫩少苔,脉细弱无力。其证候是()A . 气血虚弱B . 脾肾阳虚C . 脾胃虚弱D . 肝肾不足E . 气阴两亏

  • 查看答案
  • 早期妊娠B超可以发现的妊娠囊(  )。

    [单选题]早期妊娠B超可以发现的妊娠囊(  )。A.停经35日B.停经40日C.停经60日D.停经4周E.停经6周

  • 查看答案
  • 足月妊娠,B超显示如图,考虑_______。