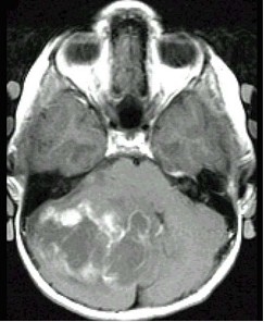
颅后窝肿瘤(如图所示)临床症状应除外()

A . 轮替试验幅度增大
B . 躯干性和下肢远端的共济失调
C . 交叉性麻痹
D . Romberg征多为阴性
E . 同侧后组脑神经损伤症状
[单选题]颅后窝肿瘤临床症状应除外A.轮替试验幅度增大B.躯干性和下肢远端的共济失调C.交叉性麻痹D.Romberg征多为阴性E.同侧后组脑神经损伤症状
[单选题,A1型题] 后颅窝肿瘤临床症状应除外()A . 交叉性麻痹B . 躯干性和下肢远端的共济失调C . 轮替试验幅度增大D . Romberg征多为阴性E . 同侧后组颅神经损伤症状
[单选题,A2型题,A1/A2型题] 后颅窝肿瘤临床症状应除外()。A . 交叉性麻痹B . 躯干性和下肢远端的共济失调C . 轮替试验幅度增大D . Romberg征多为阴性E . 同侧后组颅神经损伤症状
[单选题]颅后窝肿瘤临床症状应除外()。A . 轮替试验幅度增大B . 躯干性和下肢远端的共济失调C . Romberg征多为阴性D . 交叉性麻痹E . 同侧后组脑神经损伤症状
[单选题]颅后窝肿瘤临床症状应除外A.轮替试验幅度增大B.躯干性和下肢远端的共济失调C.Romberg征多为阴性D.交叉性麻痹E.同侧后组脑神经损伤症状
[单选题]后颅窝肿瘤临床症状应除外()A.交叉性麻痹B.躯干性和下肢远端的共济失调C.轮替试验幅度增大D.Romberg征多为阴性E.同侧后组颅神经损伤症状
[单选题]后颅窝肿瘤临床症状应除外()A.交叉性麻痹B.躯干性和下肢远端的共济失调C.轮替试验幅度增大D.Romberg征多为阴性E.同侧后组颅神经损伤症状
[单选题]后颅窝肿瘤临床症状应除外()A.交叉性麻痹B.躯干性和下肢远端的共济失调C.轮替试验幅度增大D.Romberg征多为阴性E.同侧后组颅神经损伤症状
[单选题]后颅窝肿瘤临床症状应除外A.交叉性麻痹B.躯干性和下肢远端的共济失调C.轮替试验幅度增大D.Romberg征多为阴性E.同侧后组颅神经损伤症状
[单选题]颅后窝肿瘤(如图所示)临床症状应除外 ( )A.轮替试验幅度增大B.躯干性和下肢远端的共济失调C.交叉性麻痹D.Romberg征多为阴性E.同侧后组脑