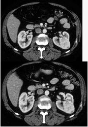
女,47岁,左侧腰部隐痛不适2个月余,结合所示图像最可能的诊断为()
A . 左肾癌
B . 左肾血管平滑肌脂肪瘤
C . 左肾出血性囊肿
D . 左肾炎性包块
E . 左肾感染性囊肿
[单选题]女,47岁,左侧腰部隐痛不适2个月余,结合所示图像最可能的诊断为()A .左肾癌B .左肾血管平滑肌脂肪瘤C .左肾出血性囊肿D .左肾炎性包块E .左肾感染性囊肿
[单选题]女,47岁,左侧腰部隐痛不适2个月余,结合所示图像最可能的诊断为()A.左肾癌B.左肾血管平滑肌脂肪瘤C.左肾出血性囊肿D.左肾炎性包块E.左肾感染性
[单选题]女,43岁,左侧腰部不适2年余,结合所示图像,最可能的诊断是()A . 左肾髓样脂肪瘤B . 左肾盏憩室C . 左肾囊肿D . 左肾积水E . 左肾错构瘤
[单选题]女,43岁,左侧腰部不适2年余,结合所示图像,最可能的诊断是()A .左肾髓样脂肪瘤B .左肾盏憩室C .左肾囊肿D .左肾积水E .左肾错构瘤
[单选题]女,48岁,左腰部胀痛不适2个月余,根据所示图像,最可能的诊断是()A . 左侧囊性肾癌B . 左侧肾囊肿C . 左侧多囊肾D . 左侧肾脓肿E . 左侧肾积水
[单选题]女,48岁,左腰部胀痛不适2月余,根据所示图像,最可能的诊断是()A .左侧囊性肾癌B .左侧肾囊肿C .左侧多囊肾D .左侧肾脓肿E .左侧肾积水
[单选题]女,48岁,左腰部胀痛不适2月余,根据所示图像,最可能的诊断是()A . 左侧囊性肾癌B . 左侧肾囊肿C . 左侧多囊肾D . 左侧肾脓肿E . 左侧肾积水
[单选题]女,54岁,腰背部隐痛不适1月余,根据所示图像,最可能的诊断是()A . 左侧单纯性肾囊肿,右肾未见异常B . 左侧肾盂积水合并右侧肾血管平滑肌脂肪瘤C . 左侧单纯性肾囊肿合并右侧肾癌D . 左侧肾盂积水合并右侧肾癌E . 左侧单纯性肾囊肿合并右侧肾血管平滑肌脂肪瘤
[单选题]女,54岁,腰背部隐痛不适1月余,根据所示图像,最可能的诊断是()A .左侧单纯性肾囊肿,右肾未见异常B .左侧肾盂积水合并右侧肾血管平滑肌脂肪瘤C .左侧单纯性肾囊肿合并右侧肾癌D .左侧肾盂积水合并右侧肾癌E .左侧单纯性肾囊肿合并右侧肾血管平滑肌脂肪瘤
[单选题]女,63岁,左腰部隐痛不适1个月余,CT平扫十增强如图所示,最可能的诊断是()A . 左肾下极囊肿B . 左肾下极错构瘤C . 左肾下极癌D . 左肾下极脓肿E . 左肾下极淋巴瘤