[单选题]

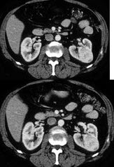
女,47岁,左侧腰部隐痛不适2个月余,结合所示图像最可能的诊断为()

A .左肾癌

B .左肾血管平滑肌脂肪瘤

C .左肾出血性囊肿

D .左肾炎性包块

E .左肾感染性囊肿

参考答案与解析:

相关试题

女,47岁,左侧腰部隐痛不适2个月余,结合所示图像最可能的诊断为()