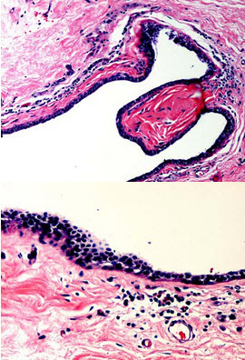
女性,35岁,左乳头红肿触痛半月余,溢液一周。乳晕下扪及边界不清硬结,切除左乳送检,大体见乳头乳晕下区数条输乳管扩张扭曲,管腔扩张,直径1~2cm,管腔内充满棕黄色糊状物,管周有灰白色纤维性厚壁。镜下见乳腺小叶间质内出现扩张的导管,管腔内见脱落上皮细胞及脂质分泌物,导管周围纤维组织增生伴淋巴细胞浸润(如图)。应诊断为()

A .乳腺导管扩张症
B .乳腺导管增生
C .乳腺导管原位癌
D .乳腺小叶增生
E .以上都不是
[单选题]女性,35岁,左乳头红肿触痛半月余,溢液一周。乳晕下扪及边界不清硬结,切除左乳送检,大体见乳头乳晕下区数条输乳管扩张扭曲,管腔扩张,直径1~2cm,管
[单选题]患者女性,51岁,右乳癌改良根治术后一年余,自查发现左乳肿物1个月,查体:右乳缺失,左乳乳晕旁可及一个直径2.5cm的质硬结节,边界不清,活动度差,左
[单选题]患者女性,51岁,右乳癌改良根治术后一年余,自查发现左乳肿物1个月,查体:右乳缺失,左乳乳晕旁可及一个直径2.5cm的质硬结节,边界不清,活动度差,左
[单选题]患者女性,51岁,右乳癌改良根治术后一年余,自查发现左乳肿物1个月,查体:右乳缺失,左乳乳晕旁可及一个直径2.5cm的质硬结节,边界不清,活动度差,左
[多选题]患者女性,51岁,右乳癌改良根治术后一年余,自查发现左乳肿物1个月,查体:右乳缺失,左乳乳晕旁可及一个直径2.5cm的质硬结节,边界不清,活动度差,左
[多选题]患者女性,51岁,右乳癌改良根治术后一年余,自查发现左乳肿物1个月,查体:右乳缺失,左乳乳晕旁可及一个直径2.5cm的质硬结节,边界不清,活动度差,左
[单选题]患者女性,51岁,右乳癌改良根治术后一年余,自查发现左乳肿物1个月,查体:右乳缺失,左乳乳晕旁可及一个直径2.5cm的质硬结节,边界不清,活动度差,左
[单选题]患者女性,51岁,右乳癌改良根治术后一年余,自查发现左乳肿物1个月,查体:右乳缺失,左乳乳晕旁可及一个直径2.5cm的质硬结节,边界不清,活动度差,左
[单选题]患者女性,51岁,右乳癌改良根治术后一年余,自查发现左乳肿物1个月,查体:右乳缺失,左乳乳晕旁可及一个直径2.5cm的质硬结节,边界不清,活动度差,左
[多选题]患者女性,51岁,右乳癌改良根治术后一年余,自查发现左乳肿物1个月,查体:右乳缺失,左乳乳晕旁可及一个直径2.5cm的质硬结节,边界不清,活动度差,左