男,55岁,排尿不畅一年,进行性加重二月余。肛诊前列腺肥大。行前列腺摘除,大体见前列腺肿块灰白色,质地中等偏硬。镜下如图所示,腺上皮簇状、微乳头状,细胞异型并可见小核仁,鸡尾酒法染色如图。应诊断为()
A .前列腺良性增生
B .前列腺基底细胞增生
C .低级别上皮内瘤变
D .高级别上皮内瘤变
E .导管内癌
[多选题,共用题干题] 患者,男,68岁,因"前列腺肥大"拟行前列腺切除术入院。30小时前行前列腺活检术,6小时前突发寒战、高热,体温40℃,血压进行性下降至80/40mmHg,且神志逐渐淡漠,病房予降温、补液治疗不见好转,遂转入ICU。既往:冠心病史3年,稳定性心绞痛,规律服药治疗。查体:T38.3℃,P120次/分,R30次/分,BP90/43mmHg(静点多巴胺15μg/kg·min)。患者烦躁,查体欠合作,双肺听诊散在湿啰音,心律齐,未闻杂音。皮肤湿冷,双下肢无水肿,双侧巴宾斯基征阴性。病房吸
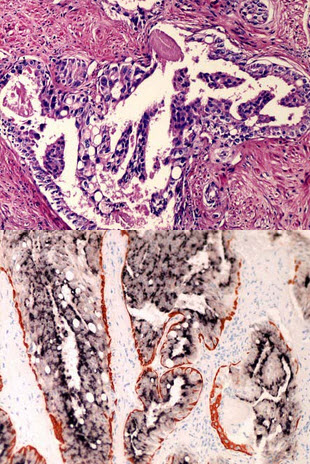
[单选题]男性,58岁,排尿不畅半年余,检查前列腺肿大,穿刺显微镜下未见癌。行前列腺切除术,术后病理检查见部分腺管细胞层次增多(如图),用鸡尾酒法染色(如图)。应诊断为()A . 前列腺良性增生B . 前列腺基底细胞增生C . 低级别上皮内瘤变D . 高级别上皮内瘤变E . 导管内癌
[多选题,案例分析题] 患者男,68岁,因“前列腺肥大”拟行前列腺切除术入院。1d前行前列腺活检术,6h前突发寒战、高热,体温40℃,血压进行性下降至80/40mmHg,且意识逐渐淡漠,予降温、补液治疗不见好转,遂转入ICU。既往:冠心病病史3年,规律服药治疗。查体:T39℃,P120次/min,R30次/min,BP90/43mmHg(静脉滴注多巴胺15μg·kg-1·min-1);患者烦躁,查体欠合作;双肺听诊散在湿性啰音,心律齐,未闻杂音;皮肤湿冷,双下肢无水肿,双侧巴宾斯基征(-)。病房吸氧前血气
[单选题]患者男性,75岁。因患良性前列腺增生5年,行前列腺摘除术,现术后1天。若预防前列腺摘除术后前列腺窝出血,最主要的措施是A.使用止血药物B.输新鲜血C.
[单选题]患者男性,75岁。因患良性前列腺增生5年,行前列腺摘除术,现术后1天。若预防前列腺摘除术后前列腺窝出血,最主要的措施是A.使用止血药物B.输新鲜血C.
[单选题]脓性前列腺液常见于A.化脓性前列腺炎B.前列腺肥大C.前列腺结石D.滴虫性前列腺炎E.前列腺结核
[单选题]患者男,75岁,因“排尿困难3年余”来诊。直肠指检:前列腺结节。经直肠前列腺针吸细胞学检查证实为前列腺癌。盆腔CT提示右侧精囊受侵犯。最适合该患者的治疗为()A . 根治性前列腺切除术B . 前列腺扩大切除术C . 经尿道前列腺切除术D . 内分泌治疗E . 前列腺放射治疗
[单选题]前列腺内回声增强提示 ( )A.前列腺结石B.前列腺新生物C.前列腺肥大D.前列腺斑点状钙化E.以上都是
[单选题]前列腺增生病人行前列腺切除术时应切除A.前列腺增生部分B.前列腺增生部分及前列腺包膜C.受压变形的后尿道D.精阜E.膀胱颈口
[单选题]老年性膀胱结石最常见的诱因是A.前列腺肥大B.前列腺增生C.前列腺息肉D.前列腺炎E.前列腺癌