[填空题]

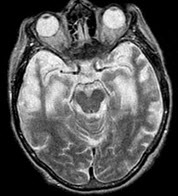
根据如图提示,Pick病患者CT、MRI主要表现为________。

参考答案与解析:

相关试题

亨廷顿病患者头颅CT或MRI表现为

[单选题]亨廷顿病患者头颅CT或MRI表现为A.大脑皮质萎缩B.豆状核萎缩C.尾状核萎缩D.大脑皮质和豆状核萎缩E.大脑皮质和尾状核萎缩

  • 查看答案
  • 亨廷顿病患者头颅CT或MRI表现为()

    [单选题]亨廷顿病患者头颅CT或MRI表现为()A . 大脑皮质萎缩B . 豆状核萎缩C . 尾状核萎缩D . 大脑皮质和豆状核萎缩E . 大脑皮质和尾状核萎缩

  • 查看答案
  • 糖尿病患者表现为()

    [单选题,B型题] 糖尿病患者表现为()A . P选择素增高B . L选择素增高C . E选择素增高D . ICAM-1增高E . P选择素降低

  • 查看答案
  • 糖尿病患者表现为().

    [单选题,B型题] 糖尿病患者表现为().A . P选择素增高B . L选择素增高C . E选择素增高D . ICAM-1增高E . P选择素降低

  • 查看答案
  • 肺吸虫病患者表现为

    [单选题]肺吸虫病患者表现为A.脑积水、无脑儿、小头畸形等B.肝脾淋巴结肿大C.尿急、尿频、尿痛D.发烧、咳嗽、胸痛和伴有咳血痰E.再燃

  • 查看答案
  • 冠心病患者可表现为

    [多选题]冠心病患者可表现为A.高三酰甘油血症B.TC升高C.HDL-C升高D.LDL-C升高E.HDL-C降低

  • 查看答案
  • 冠心病患者可表现为

    [多选题]冠心病患者可表现为A.高三酰甘油血症B.TC升高C.HDL-C升高D.LDL-C升高E.HDL-C降低

  • 查看答案
  • Little病患者步态异常表现为

    [单选题]Little病患者步态异常表现为A.醉酒步态B.跨阈步态C.小脑性步态D.剪刀样步态E.感觉性共济失调步态

  • 查看答案
  • Little病患者步态异常表现为()

    [单选题]Little病患者步态异常表现为()A . 醉酒步态B . 跨阈步态C . 小脑性步态D . 剪刀样步态E . 感觉性共济失调步态

  • 查看答案
  • 冠心病患者可表现为

    [多选题]冠心病患者可表现为A.高三酰甘油血症B.TC升高C.HDL-C升高D.LDL-C升高E.HDL-C降低

  • 查看答案
  • 根据如图提示,Pick病患者CT、MRI主要表现为________。