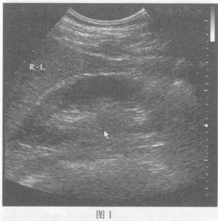
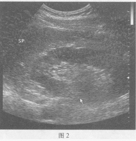
请回答图1、图2箭头所指部位的脏器名称()


A . 图1:左肾;图2:右肾
B . 图1:右肾;图2:左肾
C . 图1:肝脏;图2:脾脏
D . 图1:右肾门;图2:左输尿管
[单选题]请回答图1、图2箭头所指部位的脏器名称()。A . 图1:左肾;图2:右肾B . 图1:右肾;图2:左肾C . 图1:肝脏;图2:脾脏D . 图1:右肾门;图2:左输尿管
[单选题]请回答图1内径为1.1cm部位及图2箭头所指部位的解剖名称()A . 图1:门静脉,图2:肝动脉B . 图1:门静脉,图2:胆总管C . 图1:下腔静脉,图2:肝动脉D . 图1:肝静脉,图2:肝动脉
[单选题]请回答图1内径为1.1cm部位及图2箭头所指部位的解剖名称:()。A . 图1:门静脉,图2:肝动脉B . 图1:门静脉,图2:胆总管C . 图1:下腔静脉,图2:肝动脉D . 图1:肝静脉,图2:肝动脉
[单选题]请回答图1、图2箭头所指部位的脏器名称:A.图1:左肾;图2:右肾B.图1:右肾;图2:左肾C.图1:肝脏;图2:脾脏D.图1:右肾门;图2:左输尿管
[单选题]请回答箭头所指部位(彩图)的解剖名称()A . 脾静脉B . 脾动脉C . 胃左动脉D . 左肾动脉
[单选题]请回答下图箭头所指部位的解剖名称()A . 右肾错构瘤B . 右肾脂肪囊C . 右肾实质D . 腹膜后占位
[单选题]请回答箭头所指部位(彩图)的解剖名称()。A . 脾静脉B . 脾动脉C . 胃左动脉D . 左肾动脉
[单选题]请回答下图箭头所指部位的解剖名称()。A . 腹主动脉B . 下腔静脉C . 胆总管D . 门静脉
[单选题]请回答1和箭头所指部位声像图的断面解剖名称()A . 下腔静脉和右肾动脉B . 下腔静脉和左肾动脉C . 腹主动脉和左肾静脉D . 腹主动脉和右肾静脉
[单选题]请回答1和箭头所指部位声像图的断面解剖名称()。A . 下腔静脉和右肾动脉B . 下腔静脉和左肾动脉C . 腹主动脉和左肾静脉D . 腹主动脉和右肾静脉