女性,43岁,因月经量多,经期时间长,月经周期短就诊。体检:子宫体积大,表面不平整。结合超声图像,最可能的诊断为()

A . 子宫内膜癌
B . 宫颈癌
C . 多发性子宫肌瘤
D . 葡萄胎
E . 子宫腺肌瘤
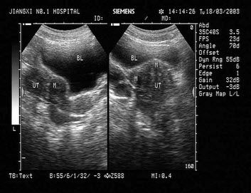
[单选题]女性,43岁,因月经时间长就诊。超声检查如图,最可能的诊断为()A .节育环下移B .子宫内膜癌C .子宫肌瘤D .宫腔残留E .子宫内膜钙化
[单选题]女性,43岁,因月经时间长就诊。超声检查如图,最可能的诊断为()A . 节育环下移B . 子宫内膜癌C . 子宫肌瘤D . 宫腔残留E . 子宫内膜钙化
[单选题]患者,女,48岁。月经周期正常,月经量多5年,子宫如孕2个半月大小,表面不平,宫体左侧可扪及直径约5cm大小包块,质硬,与子宫体分不开,无压痛。首先应考虑的诊断是()。A . 多发性子宫肌瘤B . 卵巢实质性肿瘤C . 子宫腺肌瘤D . 盆腔炎性包块E . 子宫内膜异位囊肿
[单选题]患者,女,48岁。月经周期正常,月经量多5年,子宫如孕2个半月大小,表面不平,宫体左侧可扪及直径约5cm大小包块,质硬,与子宫体分不开,无压痛。首先应考虑的诊断是( )A.多发性子宫肌瘤B.卵巢实质性肿瘤C.子宫腺肌瘤D.盆腔炎性包块E.子宫内膜异位囊肿
[单选题]女性,40岁,发现子宫肌瘤3年,月经周期正常,经期长,常规妇科体检。体检重点应该是A.宫颈形态大小B.白带症状与镜检C.子宫位置、大小及形态D.双卵巢
[案例分析题] 病历摘要:女性,48岁,因月经周期缩短,经期延长及经量增多1年就诊。患者既往月经正常,3~4/30天,经量中等,无痛经。近一年来月经周期缩短,经期延长,7/24天,经量明显增多,不伴痛经。G2P2,均为足月顺产。带环已15年。妇科检查:外阴(-),阴道(-),宫颈光滑,子宫如孕12周大小,表面凸凹不平,质硬,无压痛,双侧附件(-)。实验室检查:WBC6.8×109/L,Hb85g/L,PLT190×109/L。
[试题]女性,40岁。月经周期缩短,经期延长,经量增多1年。患者1年来月经周期缩短,经期延长,7~8/24~25天,经量明显增多,不伴痛经。白带正常。既往月经正常,3~4/30天,经量中等,无痛经。生育史:孕产,足月顺产,放置宫内节育器8年。查体:T36.7℃,P86次/分,R18次/分,BP100/70mmHg。贫血貌。心肺检查未见异常。肝脾肋下未触及。妇科检查:外阴已产式,阴道光滑通畅,宫颈光滑;宫体如11周妊娠大,表面凹凸不平、质硬、活动度较差;双附件(-)。实验室检查:血常规:Hb65g/L,MC
[案例分析题] 女性,40岁。月经周期缩短,经期延长,经量增多1年。患者1年来月经周期缩短,经期延长,7~8/24~25天,经量明显增多,不伴痛经。白带正常。既往月经正常,3~4/30天,经量中等,无痛经。生育史:孕3产1,足月顺产,放置宫内节育器8年。查体:T36.7℃,P86次/分,R18次/分,BP100/70mmHg。贫血貌。心肺检查未见异常。肝脾肋下未触及。妇科检查:外阴已产式,阴道光滑通畅,宫颈光滑;宫体如11周妊娠大,表面凹凸不平、质硬、活动度较差;双附件(-)。实验室检查:血常规:Hb65
[单选题]39岁已婚妇女。月经周期正常,经期延长,经量增多3个月。现月经周期第5天因经量多就诊。妇查:子宫颈光滑,子宫大小正常。双附件未见异常,立即诊刮,最可能的病理结果是()。A .增生期子宫内膜B .子宫内膜增生过长C .分泌期子宫内膜D . D.子宫内膜增生与分泌共有现象E .子宫内膜分泌不良
[单选题]患者女性,40岁。月经量多2年,月经周期和经期无明显改变。如与子宫腺肌病进行鉴别,需进行( )。A.询问有无白带增多B.B超检查C.询问有无发热D.