[单选题]

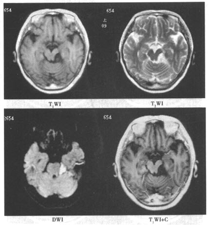
患者,女,28岁。因左侧面部疼痛1年余入院,影像学检查如下图。

该患者最有可能的诊断是()

A . 表皮样囊肿

B . 脑膜瘤

C . 三叉神经鞘瘤

D . 蛛网膜囊肿

E . 听神经鞘瘤

F . 胶质瘤

参考答案与解析:

相关试题

患者,女,28岁。因左侧面部疼痛1年余入院,影像学检查如下图。该患者最有可能的诊