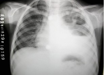
女,8岁,寒战、高热一周,如图所示,最可能的诊断为()

A .左侧肺不张
B .左侧胸腔积液
C .左侧多发性肺脓肿
D .左心室增大
E .以上都不正确
[单选题]女,8岁,寒战、高热一周,如图所示,最可能的诊断为()A . 左侧肺不张B . 左侧胸腔积液C . 左侧多发性肺脓肿D . 左心室增大E . 以上都不正确
[单选题]女,8岁,如图所示,最可能诊断为()A .左下肺不张B .左下肺隔离症C .左肺发育不全D .左下肺支气管扩张E .左下肺支气管囊肿
[单选题]女,2月,持续高热一周,右上腹稍隆,如图所示,最可能的诊断为()A .肝母细胞瘤B .肝脓疡C .肝血管瘤D .肝囊肿E .胆管细胞癌
[单选题]女,8岁,如图所示,最可能的诊断为()A . 左下肺不张B . 左下肺隔离症C . 左肺发育不全D . 左下肺支气管扩张E . 左下肺支气管囊肿
[单选题]女,8岁,如图所示,最可能的诊断为()A .左下肺不张B .左下肺隔离症C .左肺发育不全D .左下肺支气管扩张E .左下肺支气管囊肿
[单选题]女,8岁,寒战、高热一周,如图所示,最可能的诊断为()A.左侧肺不张B.左侧胸腔积液C.左侧多发性肺脓肿D.左心室增大E.以上都不正确
[单选题]男,8岁,高热达38.5℃三天,如图所示,最可能的诊断为()A .畸胎瘤B .原发综合征C .肺脓肿D .包裹性胸腔积液E .支气管肺炎
[单选题]女,8岁,头痛,鼻塞半年余,CT如图所示,最可能诊断为()A .鼻咽癌B .鼻咽部炎症C .腺样体肥大D .神经纤维瘤E .咽后脓肿
[单选题]女,8岁,头痛,鼻塞半年余,CT如图所示,最可能诊断为()A . 鼻咽癌B . 鼻咽部炎症C . 腺样体肥大D . 神经纤维瘤E . 咽后脓肿
[单选题,A2型题,A1/A2型题] 女,8岁,头痛,鼻塞半年余,CT如图所示,最可能诊断为()。A . 鼻咽癌B . 鼻咽部炎症C . 腺样体肥大D . 神经纤维瘤E . 咽后脓肿