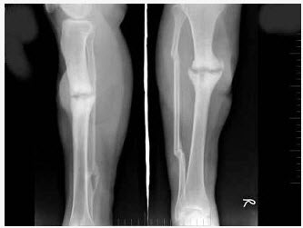
女,48岁,车祸致右胫腓骨骨折,外固定术后两年复查,如图所示,最可能的诊断是()

A . 右胫骨愈合延迟
B . 右胫骨假关节形成
C . 右胫骨骨折愈合好,有大量骨痂形成
D . 右胫骨断端不连
E . 以上均不正确
[单选题]女,48岁,车祸致右胫腓骨骨折,外固定术后两年复查,如图所示,最可能的诊断是()A .右胫骨愈合延迟B .右胫骨假关节形成C .右胫骨骨折愈合好,有大量骨痂形成D .右胫骨断端不连E .以上均不正确
[单选题]48岁女性患者,因车祸致右胫腓骨骨折,行外固定术后两年复查,最可能的诊断是()A .右胫骨愈合延迟B .右胫骨假关节形成C .右胫骨骨折愈合好,有大量骨痂形成D .右胫骨断端不连接E .右胫骨畸形愈合
[单选题]48岁女性患者,因车祸致右胫腓骨骨折,行外固定术后两年复查,如图所示,最可能的诊断是()A.右胫骨愈合延迟B.右胫骨假关节形成C.右胫骨骨折愈合好,有
[单选题,A2型题,A1/A2型题] 女,16岁,发现左颈部肿块两年,CT如图所示,最可能的诊断为()。A . 囊状水瘤B . 咽部神经鞘瘤C . 咽旁脓肿D . 左侧鳃裂囊肿E . 囊性转移癌
[单选题]女,16岁,发现左颈部肿块两年,CT如图所示,最可能的诊断为()A . 囊状水瘤B . 咽部神经鞘瘤C . 咽旁脓肿D . 左侧鳃裂囊肿E . 囊性转移癌
[单选题]女,16岁,发现左颈部肿块两年,CT如图所示,最可能的诊断为()A .囊状水瘤B .咽部神经鞘瘤C .咽旁脓肿D .左侧鳃裂囊肿E .囊性转移癌
[单选题]女,17岁,鼻阻塞、头痛两年.如图所示符合筛骨病变最可能的诊断是()。A . 成骨肉瘤B . 纤维异常增殖症C . 软骨瘤D . 骨瘤E . 骨化性纤维瘤
[单选题]女,17岁,鼻阻塞、头痛两年.如图所示符合筛骨病变最可能的诊断是()A .成骨肉瘤B .纤维异常增殖症C .软骨瘤D .骨瘤E .骨化性纤维瘤
[单选题]女,17岁,鼻阻塞、头痛两年.如图所示符合筛骨病变最可能的诊断是()A . 成骨肉瘤B . 纤维异常增殖症C . 软骨瘤D . 骨瘤E . 骨化性纤维瘤
[单选题]患者男性,26岁,半年前车祸致右腿胫腓骨骨折,骨科行胫腓骨复位+内固定手术,术后骨折恢复情况良好,予以内固定取出术,术后皮肤创面愈情况差,反复换药未见明显好转,创面清创后形成大小约6*2cm大小创面,该患者拟行的缺损修复方案首选()。A .全厚皮片移植术B .中厚皮片移植术C .对偶皮瓣修复术D .双蒂滑行推进皮瓣修复术E . E单蒂滑行推进皮瓣修复术