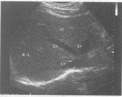
[单选题]

请回答图中1、2、3所指部位的解剖名称()。

A . 1-肝右静脉、2-肝中静脉、3-肝左静脉

B . 1肝左静脉、2-肝中静脉、3-肝右静脉

C . 1-门脉右支、2-肝中静脉、3-门脉左支

D . 1-门脉右后支、2-门脉右前支、3-门脉左支

参考答案与解析:

相关试题

请回答图中1、2、3所指部位的解剖名称()。