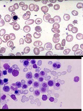
某患者自幼贫血,脾肿大。外周血涂片如图1,骨髓涂片如图2,该患者可能为()
A .缺铁性贫血
B .地中海贫血
C .巨幼细胞贫血
D .再障
E .HbS病
[单选题]某患者自幼贫血,脾肿大。外周血涂片如图1,骨髓涂片如图2,该患者可能为()A . 缺铁性贫血B . 地中海贫血C . 巨幼细胞贫血D . 再障E . HbS病
[单选题]某患者自幼贫血,脾肿大。外周血涂片如图1,骨髓涂片如图2,该患者可能为()A.缺铁性贫血B.地中海贫血C.巨幼细胞贫血D.再障E.HbS病
[单选题]某患者自幼贫血,脾肿大。外周血涂片如图1,骨髓涂片如图2,该患者可能为()A.缺铁性贫血B.地中海贫血C.巨幼细胞贫血D.再障E.HbS病
[单选题]某患者外周血涂片如图1,骨髓涂片如图2,该患者最可能为哪种疾病()A . PNHB . 缺铁性贫血C . 巨幼细胞性贫血D . 自身免疫性溶血性贫血E . 珠蛋白生成障碍性贫血
[单选题]某患者外周血涂片如图1,骨髓涂片如图2,该患者最可能为哪种疾病()A .PNHB .缺铁性贫血C .巨幼细胞性贫血D .自身免疫性溶血性贫血E .珠蛋白生成障碍性贫血
[单选题]外周血涂片如图,该患者可能为下列何种疾病()A . 口形红细胞增多症B . 遗传性球形红细胞增多症C . 缺铁性贫血D . 再障E . HbS病
[单选题]外周血涂片如图,该患者可能为下列何种疾病()A .口形红细胞增多症B .遗传性球形红细胞增多症C .缺铁性贫血D .再障E .HbS病
[多选题] 某患者血涂片见图1,骨髓涂片见图2,该患者可能为()A . 温抗体型自身免疫性溶血性贫血B . 巨幼细胞贫血C . 阵发性冷性血红蛋白尿症D . 遗传性球形红细胞增多症E . 铁粒幼细胞贫血
[多选题] 某患者血涂片见图1,骨髓涂片见图2,该患者可能为()A .温抗体型自身免疫性溶血性贫血B .巨幼细胞贫血C .阵发性冷性血红蛋白尿症D .遗传性球形红细胞增多症E .铁粒幼细胞贫血
[单选题]某患者外周血涂片如图1,骨髓涂片如图2,该患者最可能为哪种疾病()A.PNHB.缺铁性贫血C.巨幼细胞性贫血D.自身免疫性溶血性贫血E.珠蛋白生成障碍