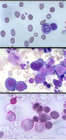
某贫血患者的血涂片、骨髓涂片、PAS染色分别如图所示,下列说法正确的是()
A .该患者为大细胞正色素性贫血
B .MCV升高,MCH升高,MCHC正常,RDW升高
C .这类贫血患者血涂片上可见点彩红细胞、H-J小体及有核红细胞
D .细胞内外铁均增高
E .白细胞数正常或减低
[多选题] 某贫血患者的血涂片、骨髓涂片、PAS染色分别如图所示,下列说法正确的是()A . 该患者为大细胞正色素性贫血B . MCV升高,MCH升高,MCHC正常,RDW升高C . 这类贫血患者血涂片上可见点彩红细胞、H-J小体及有核红细胞D . 细胞内外铁均增高E . 白细胞数正常或减低
[多选题]某贫血患者的血涂片、骨髓涂片、PAS染色分别如图所示,下列说法正确的是()A.该患者为大细胞正色素性贫血B.MCV升高,MCH升高,MCHC正常,RD
[多选题]某贫血患者的血涂片、骨髓涂片、PAS染色分别如图所示,下列说法正确的是()A.该患者为大细胞正色素性贫血B.MCV升高,MCH升高,MCHC正常,RD
[单选题]某患者血涂片和骨髓涂片分别见图,该患者可能为 ( )A.巨幼细胞贫血B.再障C.缺铁性贫血D.慢性失血E.急性失血
[多选题] 某患者血涂片和骨髓涂片分别见图,该患者可能为()A .巨幼细胞贫血B .再障C .缺铁性贫血D .慢性失血E .急性失血
[单选题]某患者自幼贫血,脾肿大。外周血涂片如图1,骨髓涂片如图2,该患者可能为()A . 缺铁性贫血B . 地中海贫血C . 巨幼细胞贫血D . 再障E . HbS病
[单选题]某患者自幼贫血,脾肿大。外周血涂片如图1,骨髓涂片如图2,该患者可能为()A .缺铁性贫血B .地中海贫血C .巨幼细胞贫血D .再障E .HbS病
[多选题]关于骨髓涂片及染色下列说法正确的是A.涂片时推玻片与载玻片之间角度为30°~45°B.载玻片可用手触摸C.染色时间与气温、染料质量及配制浓度有关D.染
[多选题]关于骨髓涂片及染色下列说法正确的是A.涂片时推玻片与载玻片之间角度为30°~45°B.载玻片可用手触摸C.染色时间与气温、染料质量及配制浓度有关D.染
[多选题]关于骨髓涂片及染色下列说法正确的是A.涂片时推玻片与载玻片之间角度为30°~45°B.载玻片可用手触摸C.染色时间与气温、染料质量及配制浓度有关D.染