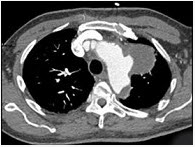
男,50岁,胸背剧痛1周余,CT如图,最可能的诊断是() 
A . 主动脉弓真性动脉瘤
B . 主动脉弓假性动脉瘤
C . 主动脉弓夹层动脉瘤
D . 左上肺癌并侵犯主动脉弓部
E . 纵隔肿瘤
[单选题]男,50岁,胸背剧痛1周余,CT如图,最可能的诊断是()A .主动脉弓真性动脉瘤B .主动脉弓假性动脉瘤C .主动脉弓夹层动脉瘤D .左上肺癌并侵犯主动脉弓部E .纵隔肿瘤
[单选题]患者男,50岁,胸背剧痛1周余,CT如图,最可能的诊断是A.主动脉弓真性动脉瘤B.主动脉弓假性动脉瘤C.主动脉弓夹层动脉瘤D.左上肺癌并侵犯主动脉弓部E.纵隔肿瘤
[单选题]患者男,50岁,胸背剧痛1周余,CT如图,最可能的诊断是()A . 主动脉弓真性动脉瘤B . 主动脉弓假性动脉瘤C . 主动脉弓夹层动脉瘤D . 左上肺癌并侵犯主动脉弓部E . 纵隔肿瘤
[单选题]患者男,50岁,胸背剧痛1周余,CT如图,最可能的诊断是()。A . 主动脉弓真性动脉瘤B . 主动脉弓假性动脉瘤C . 主动脉弓夹层动脉瘤D . 左上肺癌并侵犯主动脉弓部E . 纵隔肿瘤
[单选题]男,50岁,胸背剧痛一周余,CT如图,最可能的诊断是()A . 主动脉弓真性动脉瘤B . 主动脉弓假性动脉瘤C . 主动脉弓夹层动脉瘤D . 左上肺癌并侵犯主动脉弓部E . 纵隔肿瘤
[单选题]患者男,50岁,胸背剧痛1周余,CT如图,最可能的诊断是( )。A.主动脉弓真性动脉瘤B.主动脉弓假性动脉瘤C.主动脉弓夹层动脉瘤D.左上肺癌并侵犯
[单选题]男,50岁,胸背剧痛1周余,CT如图,最可能的诊断是()A.主动脉弓真性动脉瘤B.主动脉弓假性动脉瘤C.主动脉弓夹层动脉瘤D.左上肺癌并侵犯主动脉弓部
[单选题]患者男,50岁,胸背剧痛1周余,CT如图,最可能的诊断是A.主动脉弓真性动脉瘤B.主动脉弓假性动脉瘤C.主动脉弓夹层动脉瘤D.左上肺癌并侵犯主动脉弓部
[单选题]患者男,50岁,胸背剧痛1周余,CT如图,最可能的诊断是A.主动脉弓真性动脉瘤B.主动脉弓假性动脉瘤C.主动脉弓夹层动脉瘤D.左上肺癌并侵犯主动脉弓部
[单选题]患者男,50岁,胸背剧痛1周余,CT如图,最可能的诊断是A.主动脉弓真性动脉瘤B.主动脉弓假性动脉瘤C.主动脉弓夹层动脉瘤D.左上肺癌并侵犯主动脉弓部