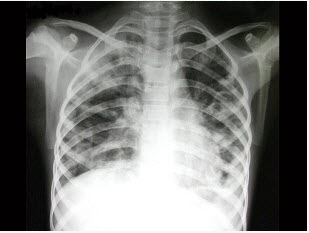
男,5岁,高热、畏寒、咳嗽、胸痛1周,如图所示,最可能的诊断为()
A . 先天性肺囊肿
B . 继发型肺结核
C . 支原体肺炎
D . 过敏性肺炎
E . 金葡菌肺炎
[单选题]男,5岁,高热、畏寒、咳嗽、胸痛1周,如图所示,最可能的诊断为()A .先天性肺囊肿B .继发型肺结核C .支原体肺炎D .过敏性肺炎E .金葡菌肺炎
[单选题]男,5岁,高热、畏寒、咳嗽、胸痛1周,如图所示,最可能的诊断为()A.先天性肺囊肿B.继发型肺结核C.支原体肺炎D.过敏性肺炎E.金葡菌肺炎
[单选题]男,74岁,咳嗽,咳痰1月余,咯血丝痰1周伴胸痛,胸片如图所示,最可能的诊断为()A .右上肺浸润型肺结核B .右上肺不张C .右侧中央型肺癌并右上肺不张D .右侧包裹性积液E .右肺上沟瘤
[单选题]男2岁,左侧胸痛、气促,如图所示,最可能的诊断为()A . 左肺肺不张B . 左侧胸腔积液C . 左侧胸膜肥厚D . 右肺肺气肿E . 以上都不正确
[单选题]男2岁,左侧胸痛、气促,如图所示,最可能的诊断为()A .左肺肺不张B .左侧胸腔积液C .左侧胸膜肥厚D .右肺肺气肿E .以上都不正确
[单选题]男,21岁,高热1周伴胸痛,胸片如图,最可能的诊断为()A . 右上肺周围型肺癌B . 右中肺不张C . 右上肺脓肿D . 右中肺脓肿E . 右上肺硬化性血管瘤
[单选题]男,21岁,高热1周伴胸痛,胸片如图,最可能的诊断为()A .右上肺周围型肺癌B .右中肺不张C .右上肺脓肿D .右中肺脓肿E .右上肺硬化性血管瘤
[单选题]男,42岁,高热,寒战,咳嗽,胸痛1周左右,CT检查如图,最可能的诊断是()A . 肺结核B . 肺癌C . 肺囊肿D . 肺脓肿E . 肺转移瘤
[单选题]男,42岁,高热,寒战,咳嗽,胸痛1周左右,CT检查如图,选择最可能的诊断()A . 肺结核B . 肺癌C . 肺囊肿D . 肺脓肿E . 肺转移瘤
[单选题]男,42岁,高热,寒战,咳嗽,胸痛1周左右,CT检查如图,最可能的诊断是()A .肺结核B .肺癌C .肺囊肿D .肺脓肿E .肺转移瘤