[单选题]

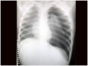
患者,男,3岁,突发左侧胸痛伴呼吸困难3小时入院,如图所示,最可能的诊断为()

A . 左侧肺气肿

B . 左侧气胸

C . 左肺门淋巴结结核

D . 右肺小叶性肺炎

E . 以上都不正确

参考答案与解析:

相关试题

患者,男,3岁,突发左侧胸痛伴呼吸困难3小时入院,如图所示,最可能的诊断为()

[单选题]患者,男,3岁,突发左侧胸痛伴呼吸困难3小时入院,如图所示,最可能的诊断为()A .左侧肺气肿B .左侧气胸C .左肺门淋巴结结核D .右肺小叶性肺炎E .以上都不正确

  • 查看答案
  • 患者,男,3岁,突发左侧胸痛伴呼吸困难3小时入院,如图所示,最可能的诊断为()<img border="0" style="width: 284px; height

    [单选题]患者,男,3岁,突发左侧胸痛伴呼吸困难3小时入院,如图所示,最可能的诊断为()A.左侧肺气肿B.左侧气胸C.左肺门淋巴结结核D.右肺小叶性肺炎E.以上

  • 查看答案
  • 男2岁,左侧胸痛、气促,如图所示,最可能的诊断为()

    [单选题]男2岁,左侧胸痛、气促,如图所示,最可能的诊断为()A . 左肺肺不张B . 左侧胸腔积液C . 左侧胸膜肥厚D . 右肺肺气肿E . 以上都不正确

  • 查看答案
  • 男2岁,左侧胸痛、气促,如图所示,最可能的诊断为()

    [单选题]男2岁,左侧胸痛、气促,如图所示,最可能的诊断为()A .左肺肺不张B .左侧胸腔积液C .左侧胸膜肥厚D .右肺肺气肿E .以上都不正确

  • 查看答案
  • 患者突发胸痛气急,呼吸困难,胸片如图,最可能的诊断为()

    [单选题]患者突发胸痛气急,呼吸困难,胸片如图,最可能的诊断为()A . 右侧肺大泡B . 右侧气胸C . 右侧中央型肺癌并阻塞性肺气肿D . 肺气肿E . 右肺肺炎

  • 查看答案
  • 患者突发胸痛气急,呼吸困难,胸片如图,最可能的诊断为()

    [单选题]患者突发胸痛气急,呼吸困难,胸片如图,最可能的诊断为()A .右侧肺大疱B .右侧气胸C .右侧中央型肺癌并阻塞性肺气肿D .肺气肿E .右肺肺炎

  • 查看答案
  • 男,76岁,突发神志不清,伴呕吐6小时,MRI检查如图所示,最可能的诊断为()

    [单选题]男,76岁,突发神志不清,伴呕吐6小时,MRI检查如图所示,最可能的诊断为()A . 出血性脑梗死B . 肿瘤出血C . 原发脑出血D . 脑结核E . 脑脓肿

  • 查看答案
  • 男,76岁,突发神志不清,伴呕吐6小时,MRI检查如图所示,最可能的诊断为()

    [单选题]男,76岁,突发神志不清,伴呕吐6小时,MRI检查如图所示,最可能的诊断为()A .出血性脑梗死B .肿瘤出血C .原发脑出血D .脑结核E .脑脓肿

  • 查看答案
  • 男,7岁,外伤后突发呼吸困难伴胸痛,结合图像,最可能的诊断是()

    [单选题]男,7岁,外伤后突发呼吸困难伴胸痛,结合图像,最可能的诊断是()A . 胸腔积液B . 肺大泡C . 气胸D . 液气胸E . 肺脓肿

  • 查看答案
  • 男,7岁,外伤后突发呼吸困难伴胸痛,结合图像,最可能的诊断是()

    [单选题]男,7岁,外伤后突发呼吸困难伴胸痛,结合图像,最可能的诊断是()A .胸腔积液B .肺大泡C .气胸D .液气胸E .肺脓肿

  • 查看答案
  • 患者,男,3岁,突发左侧胸痛伴呼吸困难3小时入院,如图所示,最可能的诊断为()