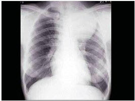
女,25岁,胸背痛半月余,胸片如图,最可能的诊断为()

A . 左上肺不张
B . 左上肺炎
C . 纵隔肿瘤
D . 左上肺癌
E . 左上肺炎性假瘤
[单选题]女,25岁,胸背痛半月余,胸片如图,最可能的诊断为()A .左上肺不张B .左上肺炎C .纵隔肿瘤D .左上肺癌E .左上肺炎性假瘤
[单选题]女,25岁,胸背痛2周,胸片如图,最可能的诊断为()A.左上肺不张B.左上肺炎C.纵隔肿瘤D.左上肺癌E.左上肺炎性假瘤
[单选题]女,25岁,胸背痛2周,胸片如图,最可能的诊断为()A .左上肺不张B .左上肺炎C .纵隔肿瘤D .左上肺癌E .左上肺炎性假瘤
[单选题]女,25岁,胸背痛半月余,胸片如图,最可能的诊断为()A.左上肺不张B.左上肺炎C.纵隔肿瘤D.左上肺癌E.左上肺炎性假瘤
[单选题]男,67岁,胸痛半月余,胸片检查如图,最可能的诊断为()A . 左上肺结核球B . 左上肺周围型肺癌C . 左上肺炎性假瘤D . 左上肺球形不张E . 左上肺脓肿
[单选题]男,67岁,胸痛半月余,胸片检查如图,最可能的诊断为()A .左上肺结核球B .左上肺周围型肺癌C .左上肺炎性假瘤D .左上肺球形不张E .左上肺脓肿
[单选题]患者,男,67岁,胸痛半月余,胸片检查如图,最可能的诊断为()A . 左上肺结核球B . 左上肺周围型肺癌C . 左上肺炎性假瘤D . 左上肺球形不张E . 左上肺脓肿
[单选题]患者,男,67岁,胸痛半月余,胸片检查如图,最可能的诊断为()。A . 左上肺结核球B . 左上肺周围型肺癌C . 左上肺炎性假瘤D . 左上肺球形不张E . 左上肺脓肿
[单选题]男,79岁,背痛,菌血症半月余,MRI检查如图,最可能的诊断是()A . 硬膜外血肿B . 脊髓空洞征C . 硬膜下血肿D . 脊膜瘤E . 硬膜外脓肿
[单选题]男,79岁,背痛,菌血症半月余,MRI检查如图,最可能的诊断是()A .硬膜外血肿B .脊髓空洞征C .硬膜下血肿D .脊膜瘤E .硬膜外脓肿