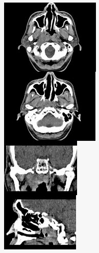
男,52岁,血涕3月余。CT如图所示,最可能的诊断为()

A . 鼻咽癌
B . 咽旁混合瘤
C . 咽部神经纤维瘤
D . 小唾液腺瘤
E . 咽旁脓肿
[单选题]男,52岁,血涕3月余。CT如图所示,最可能的诊断为()。A . 鼻咽癌B . 咽旁混合瘤C . 咽部神经纤维瘤D . 小唾液腺瘤E . 咽旁脓肿
[单选题]男,52岁,血涕3月余。CT如图所示,最可能的诊断为()A .鼻咽癌B .咽旁混合瘤C .咽部神经纤维瘤D .小唾液腺瘤E .咽旁脓肿
[单选题]男,52岁,血涕二月余,CT如图所示,最可能的诊断为()A . 鼻咽癌B . 咽旁混合瘤C . 咽部神经纤维瘤D . 小唾液腺瘤E . 咽旁脓肿
[单选题]男,52岁,血涕二月余,CT如图所示,最可能的诊断为()A .鼻咽癌B .咽旁混合瘤C .咽部神经纤维瘤D .小涎液腺瘤E .咽旁脓肿
[单选题]男,52岁,血涕3月余。最可能的诊断为()A . 鼻咽癌B . 咽旁混合瘤C . 咽部神经纤维瘤D . 小唾液腺瘤E . 咽旁脓肿
[单选题]男,52岁,右耳鸣2个月余,伴鼻塞,CT如图所示,最可能的诊断是()A . 鼻咽淋巴瘤B . 鼻咽纤维血管瘤C . 增殖体肥大D . 鼻咽癌E . 鼻咽部慢性炎症
[单选题]男,52岁,无明显不适,CT检查如图所示,最可能的诊断为()A .脑血管畸形B .结节性硬化C .甲状旁腺低功能下D .脑颜面血管瘤E .转移瘤
[单选题]男,52岁,血涕二月余,CT如图所示,最可能的诊断为A.鼻咽癌B.咽旁混合瘤C.咽部神经纤维瘤D.小唾液腺瘤E.咽旁脓肿
[单选题]男,52岁,血涕二月余,CT如图所示,最可能的诊断为A.鼻咽癌B.咽旁混合瘤C.咽部神经纤维瘤D.小唾液腺瘤E.咽旁脓肿
[单选题]男,36岁,双眼球突出5月余,CT如图所示,最可能的诊断是()A . 眼型Gmves病B . 肌炎型炎性假瘤C . 未见异常D . 眶内脑膜瘤E . 眶内淋巴瘤