[多选题]

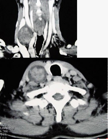
男性,70岁,右侧颈部无痛性肿块3个月,CT扫描如图所示,请选择正确的描述和答案()。

 

A . 右颈动脉间隙内见类圆形软组织肿块影,密度欠均匀,边缘光整

B . 右侧颈静脉被推压至肿块外后方

C . 右侧颈动脉被推压至肿块内后方

D . 考虑迷走神经源性肿瘤

E . 考虑交感神经源性肿瘤

参考答案与解析:

相关试题

男性,70岁,右侧颈部无痛性肿块3个月,CT扫描如图所示,请选择正确的描述和答案