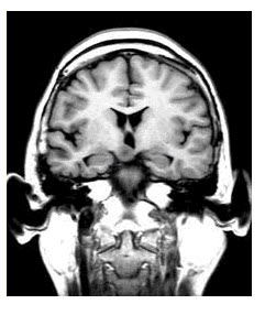
患者男,6岁,因“发作性不明原因发笑4年”来诊。发笑与环境不相宜,每次发作持续几十秒,并逐渐出现认知功能衰退。EEG:双侧前额和前颞的阵发性theta活动。
A . 其诊断可能是(提示行颅脑MRI检查,如下图。)()

参考答案与解析:
[多选题,案例分析题] 患者男,6岁,因“发作性不明原因发笑4年”来诊。发笑与环境不相宜,每次发作持续几十秒,并逐渐出现认知功能衰退。EEG:双侧前额和前颞的阵发性theta活动。关于痴笑性癫痫,叙述正确的有()A .多见于婴儿和儿童期发病B . 痴笑发作是主要的发作形式C . 痴笑不伴有情感愉悦成分D . 下丘脑错构瘤是主要的病因E . 可出现认知障碍和行为异常F . 手术是有效的治疗方法
[单选题,共用题干题] [复合型非选择题]患者男,6岁,因“发作性不明原因发笑4年”来诊。发笑与环境不相宜,每次发作持续几十秒,并逐渐出现认知功能衰退。EEG:双侧前额和前颞的阵发性theta活动。其诊断可能是(提示行颅脑MRI检查,如下图。)()A .局部皮质发育不良B . 遗传代谢性疾病C . 结节性硬化D . 下丘脑错构瘤E . 海绵状血管瘤F . 胶质瘤
[多选题]患者男,6岁,因“发作性不明原因发笑4年”来诊。发笑与环境不相宜,每次发作持续几十秒,并逐渐出现认知功能衰退。EEG:双侧前额和前颞的阵发性theta
[多选题]患者男,6岁,因“发作性不明原因发笑4年”来诊。发笑与环境不相宜,每次发作持续几十秒,并逐渐出现认知功能衰退。EEG:双侧前额和前颞的阵发性theta
[单选题]患者男,6岁,因“发作性不明原因发笑4年”来诊。发笑与环境不相宜,每次发作持续几十秒,并逐渐出现认知功能衰退。EEG:双侧前额和前颞的阵发性theta
[单选题]患者男,6岁,因“发作性不明原因发笑4年”来诊。发笑与环境不相宜,每次发作持续几十秒,并逐渐出现认知功能衰退。EEG:双侧前额和前颞的阵发性theta
[单选题]患者男,6岁,因“发作性不明原因发笑4年”来诊。发笑与环境不相宜,每次发作持续几十秒,并逐渐出现认知功能衰退。EEG:双侧前额和前颞的阵发性theta
[单选题]患者男,6岁,因“发作性不明原因发笑4年”来诊。发笑与环境不相宜,每次发作持续几十秒,并逐渐出现认知功能衰退。EEG:双侧前额和前颞的阵发性theta
[多选题,案例分析题] 患者女,53岁,因“间歇性无力4年”来诊。每次发作均经补钾治疗后好转。患者口、眼干16年,哭少泪,进干食须水送。3年前患肾小管性酸中毒,长期服用“枸橼酸合剂”后治愈,无复发。
[单选题]患者男,32岁,因“腹痛、腹泻10d”来诊。排粪4~6次/d,呈暗红色果酱样。查体:右下腹压痛。血常规:RBC3.7×1012/L,WBC9.1×109/L;粪常规:RBC(+++),WBC(+)。对诊断最有参考价值的实验室检查是()A . 粪涂片查菌B . 粪镜检溶组织内阿米巴包囊C . 粪培养致病菌D . 粪镜检溶组织内阿米巴滋养体E . 粪镜检寄生虫卵