[单选题]

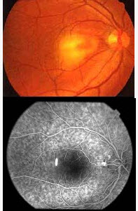
患者,女性,30岁,左眼视力下降1周,检查左眼视力0.8,眼前段(-),眼底检查如图,对该病治疗描述正确的是()

A . 渗漏点距中心凹200um以外,可激光凝固渗漏点

B . 血管扩张药可使病程缩短

C . 糖皮质激素有效

D . 必要时可行手术

E . 可用冷冻治疗

参考答案与解析:

相关试题

患者,女性,30岁,左眼视力下降1周,检查左眼视力0.8,眼前段(-),眼底检查

[单选题]患者,女性,30岁,左眼视力下降1周,检查左眼视力0.8,眼前段(-),眼底检查如图,对该病治疗描述正确的是()A .渗漏点距中心凹200um以外,可激光凝固渗漏点B .血管扩张药可使病程缩短C .糖皮质激素有效D .必要时可行手术E .可用冷冻治疗

  • 查看答案
  • 患者,女性,30岁,左眼视力下降1周,检查左眼视力0.8,眼前段(-),眼底检查如图,对该病治疗描述正确的是()<img border="0" style="wid

    [单选题]患者,女性,30岁,左眼视力下降1周,检查左眼视力0.8,眼前段(-),眼底检查如图,对该病治疗描述正确的是()A.渗漏点距中心凹200um以外,可激

  • 查看答案
  • 患者,男,30岁,左眼视物不清2天,检查左眼视力0.9,眼前段(-),眼底检查如

    [单选题]患者,男,30岁,左眼视物不清2天,检查左眼视力0.9,眼前段(-),眼底检查如图,不符合该病的临床表现为()A .中央暗影B .视物变形C .视物模糊D .中央凹反光消失E .视力突然丧失

  • 查看答案
  • 患者,男,30岁,左眼视物不清2天,检查左眼视力0.9,眼前段(-),眼底检查如

    [单选题]患者,男,30岁,左眼视物不清2天,检查左眼视力0.9,眼前段(-),眼底检查如图,不符合该病的临床表现为()A . 中央暗影B . 视物变形C . 视物模糊D . 中央凹反光消失E . 视力突然丧失

  • 查看答案
  • 某患者,左眼无痛性视力下降半年就诊,检查左眼视力为眼前手动,眼球前段无异常,眼底

    [单选题]某患者,左眼无痛性视力下降半年就诊,检查左眼视力为眼前手动,眼球前段无异常,眼底检查见颞上方一3PD大小马蹄形裂孔,孔边卷曲,后极部视网膜表面增殖膜形成并收缩致全视网膜隆起,眼球右转才能见到视盘。按照国际视网膜学会1983年分类,该患者应属于A.PVR-C1级B.PVR-C2级C.PVR-C3级D.PVR-D1级E.PVR-D2级

  • 查看答案
  • 某患者,左眼无痛性视力下降半年就诊,检查左眼视力为眼前手动,眼球前段无异常,眼底

    [单选题]某患者,左眼无痛性视力下降半年就诊,检查左眼视力为眼前手动,眼球前段无异常,眼底检查见颞上方一3PD大小马蹄形裂孔,孔边卷曲,后极部视网膜表面增殖膜形成并收缩致全视网膜隆起,眼球右转才能见到视盘。按照国际视网膜学会1983年分类,该患者应属于()A . PVR-C1级B . PVR-C2级C . PVR-C3级D . PVR-D1级E . PVR-D2级

  • 查看答案
  • 患者,女性,25岁,右眼视力下降3天,检查右眼视力1.0,眼前段(-),眼底检查

    [多选题] 患者,女性,25岁,右眼视力下降3天,检查右眼视力1.0,眼前段(-),眼底检查如图,属于该病临床特征的是()A .视物变暗B .视力下降,但常不低于0.5C .视物变形D .黄斑水肿E .眼部隐痛

  • 查看答案
  • 男性,26岁,左眼视力轻度下降1周,无眼痛,眼红。左眼矫正视力0.8,眼前节正常

    [单选题,案例分析题] 男性,26岁,左眼视力轻度下降1周,无眼痛,眼红。左眼矫正视力0.8,眼前节正常。眼底检查发现左眼视盘水肿,充血,静脉迂曲扩张。视网膜未见出血渗出,黄斑中心凹反光可见。右眼视力1.2。眼部检查均正常。视野检查表现为()A .中心暗点B . 哑铃状暗点C . 生理盲点扩大D . 生理盲点相连的视野缺损E . 视野正常

  • 查看答案
  • 患者,女性,40岁,左眼视物变形、视力下降1周而就诊。检查左眼视力0.6,黄斑水

    [单选题,A4型题,A3/A4型题] 患者,女性,40岁,左眼视物变形、视力下降1周而就诊。检查左眼视力0.6,黄斑水肿,未出血病灶。眼底检查:最有可能的诊断是()A .中心性浆液性视网膜脉络病变B .中心性渗出性视网膜脉络病变C .黄斑囊样水肿D .黄斑囊样变性E .黄斑裂孔

  • 查看答案
  • 男性,26岁,左眼视力轻度下降1周,无眼痛,眼红。左眼矫正视力0.8,眼前节正常。眼底检查发现左眼视盘水肿,充血,静脉迂曲扩张。视网膜未见出血渗出,黄斑中心凹反光可见。右眼视力1.2。眼部检查均正常。

    [单选题]男性,26岁,左眼视力轻度下降1周,无眼痛,眼红。左眼矫正视力0.8,眼前节正常。眼底检查发现左眼视盘水肿,充血,静脉迂曲扩张。视网膜未见出血渗出,黄

  • 查看答案
  • 患者,女性,30岁,左眼视力下降1周,检查左眼视力0.8,眼前段(-),眼底检查