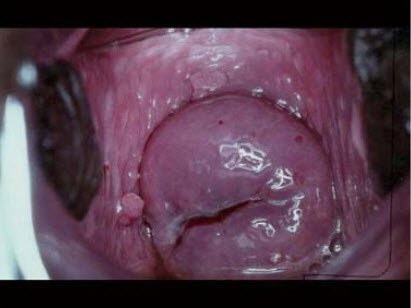
女性,22岁,服条员,多个性伴侣。妇科检查:如图。最可能的诊断为()

A . 阴道尖锐湿疣
B . 细菌性阴道病
C . 滴虫阴道炎
D . 细菌性阴道炎
E . 生殖器疱疹
[单选题]女性,22岁,服务员,多个性伴侣。妇科检查:如图。最可能的诊断为()A .阴道尖锐湿疣B .细菌性阴道病C .滴虫阴道炎D .细菌性阴道炎E .生殖器疱疹
[单选题]女性,25岁,婚前妇科体检。超声检查如图,最可能的诊断为()A .畸胎瘤B .盆腔血肿C .子宫浆膜下肌瘤D .双子宫E .双角子宫
[单选题]女性,25岁,婚前妇科体检。超声检查如图,最可能的诊断为()A . 畸胎瘤B . 盆腔血肿C . 子宫浆膜下肌瘤D . 双子宫E . 双角子宫
[单选题]女性,25岁,婚前妇科体检。超声检查如图,最可能的诊断为()。A . 畸胎瘤B . 盆腔血肿C . 子宫浆膜下肌瘤D . 双子宫E . 双角子宫
[单选题]目前认为子宫肌瘤发生最可能的相关因素是A.晚婚、晚育B.早婚、早育C.多个性伴侣D.高血压、肥胖E.雌激素的长期刺激
[单选题,共用题干题] 女性,28岁,有多个性伴侣。因下腹不适、白带增多7天来诊,略痒。查体:白带脓性,宫颈Ⅰ度糜烂,颈口触血、有脓性分泌物,子宫体双附件无明显压痛。关于该病的治疗,以下哪项不恰当()A .行宫颈分泌物染色或培养,明确病原体B . 针对病原体治疗C . 治疗应及时、足量、规范和彻底D . 应同时治疗性伴侣E . LEEP刀治疗宫颈糜烂
[单选题]女性,39岁,胃癌术后。妇科检查:两附件区触及包块。超声检查如图,最可能的诊断为()A . 囊腺癌B . 囊腺瘤C . 黄体囊肿D . 转移性卵巢癌E . 无性细胞瘤
[单选题]女性,22岁,停经40天,尿HGG阳性。超声检查如图,最可能的诊断是()A . 炎性包块B . 畸胎瘤C . 宫外孕D . 黄体囊肿E . 正常声像图
[单选题,A4型题,A3/A4型题] 女,24岁,有多个性伴侣,高热伴下腹痛1日。查体:体温38.9℃,下腹压痛、反跳痛,子宫颈充血、子宫颈口有脓性分泌物流出,子宫压痛,附件区压痛。B型超声提示:盆腔积液,子宫左侧包块,6.5cm×7.0cm。本例首选处理应是()A . 剖腹探查B . 静脉滴注抗生素治疗C . 阴道后穹隆切开引流D . 中药活血化瘀E . 腹腔镜手术
[单选题]女性,19岁,无业,多个性伴侣,与一男性行为后36小时出现高热,查体腹膜刺激症明显,应为何种感染()A .淋病奈氏菌B .衣原体C .支原体D .立克次体E .厌氧菌