[多选题]

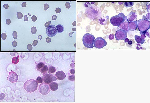
某贫血患者的血涂片、骨髓涂片、PAS染色分别如图所示,下列说法正确的是()

A . 该患者为大细胞正色素性贫血

B . MCV升高,MCH升高,MCHC正常,RDW升高

C . 这类贫血患者血涂片上可见点彩红细胞、H-J小体及有核红细胞

D . 细胞内外铁均增高

E . 白细胞数正常或减低

参考答案与解析:

相关试题

某贫血患者的血涂片、骨髓涂片、PAS染色分别如图所示,下列说法正确的是()