[单选题]

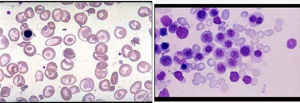
某患者自幼贫血,脾肿大。外周血涂片如图1,骨髓涂片如图2,该患者可能为()

A . 缺铁性贫血

B . 地中海贫血

C . 巨幼细胞贫血

D . 再障

E . HbS病

参考答案与解析:

相关试题

某患者自幼贫血,脾肿大。外周血涂片如图1,骨髓涂片如图2,该患者可能为()