[多选题]
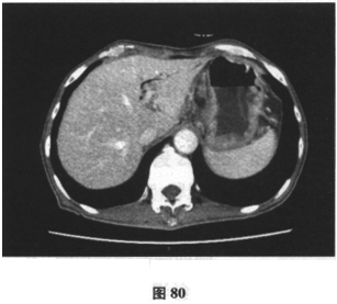
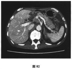
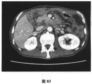
患者男,71岁,因“反复腹胀、纳差6个月,加重伴尿色加重1周余”入院。患者6月前开始肝中上腹胀,进食后加重伴纳差,就诊后予保护胃黏膜治疗症状无缓解。近一月来患者腹胀、纳差较前加重,门诊行胃镜及活检检查示慢性中度萎缩性胃炎伴肠化生,呼气试验示Hp(+),予三联方案(兰索拉唑、左氧氟沙星、克拉霉素)进行Hp根除治疗(该患者青霉素皮试+),停药4周后复查呼气试验示仍(+),调整抗生素后予四联疗法(奥美拉唑、左氧氟沙星、果胶铋、克拉霉素)继续根除治疗,但服药疗程未结束时患者腹胀、纳差加重,伴恶心、呕吐,尿色如浓茶样,伴皮肤黄染,于门诊查肝功能示总胆红素113.7μmol/L,结合胆红素64.5μmol/L,ALT110U/L,AST72U/L,尿常规:胆红素(++)。近2个月体重减轻7.5kg。患者既往于2年前有“肺大疱手术”史,有高血压史6月余,血压最高150/90mmHg,未规律服药。查体:神清,精神尚可,体型消瘦,皮肤巩膜明显黄染,未见肝掌、蜘蛛痣,腹软,无压痛,未及包块,双下肢无水肿。腹部B超未见异常。提示患者进一步检查示肝炎病毒指标、自身抗体均阴性。上腹部增强CT示:胆囊炎,肝内胆管稍扩张(图80),胰腺饱满(图81、图82),肠系膜、后腹膜淋巴结肿大(图83)。胸片显示患者肺部有术后金属物质。根据下面的检查提示,患者可能的诊断是什么?应进一步行何种检查()



A.肝内胆管结石,MRCP
B.胆总管结石,MRCP,消化道肿瘤指标
C.肝门部肿瘤,ERCP,消化道肿瘤指标
D.胆管癌,ERCP,消化道肿瘤指标
E.胰腺癌,ERCP,消化道肿瘤指标
-
相关试题
-