



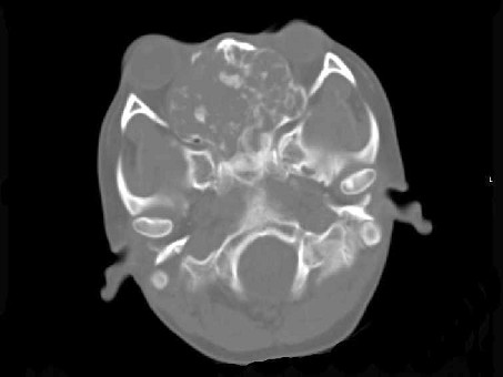
A.双侧上颌窦、筛窦、鼻腔及蝶窦内见软组织肿块影
B.肿块内密度不均,有较多致密钙化影
C.窦壁及颅底骨质破坏
D.鼻窦骨瘤
E.鼻窦软骨瘤
[多选题]男,28岁,因鼻塞、头痛1年余,鼻窦CT扫描如图所示,正确的描述或诊断是()A.双侧上颌窦、筛窦、鼻腔及蝶窦内见软组织肿块影B.肿块内密度不均,有较多
[多选题]男,28岁,因鼻塞、头痛1年余,鼻窦CT扫描如图所示,正确的描述或诊断是()A.双侧上颌窦、筛窦、鼻腔及蝶窦内见软组织肿块影B.肿块内密度不均,有较多
[多选题]男性,28岁,因鼻塞、头痛1年余,鼻窦CT扫描如图所示,请选择正确的描述与结论()A.双侧上颌窦、筛窦、鼻腔及蝶窦内见软组织肿块影B.肿块内密度不均,
[多选题]男性,28岁,因鼻塞、头痛1年余,鼻窦CT扫描如图所示,请选择正确的描述与结论()A.双侧上颌窦、筛窦、鼻腔及蝶窦内见软组织肿块影B.肿块内密度不均,
[多选题]男性,28岁,因鼻塞、头痛1年余,鼻窦CT扫描如图所示,请选择正确的描述与结论()A.双侧上颌窦、筛窦、鼻腔及蝶窦内见软组织肿块影B.肿块内密度不均,
[多选题]男性,28岁,因鼻塞、头痛1年余,鼻窦CT扫描如图所示,请选择正确的描述与结论()A.双侧上颌窦、筛窦、鼻腔及蝶窦内见软组织肿块影B.肿块内密度不均,
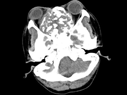
[多选题]男,57岁,睡觉打鼾,近来加重,CT扫描如图所示,正确的描述或诊断是()A.鼻咽腔偏右侧可见类圆形软组织块影B.肿块内密度尚均匀,其上方见较多钙化影C
[多选题]男,57岁,睡觉打鼾,近来加重,CT扫描如图所示,正确的描述或诊断是()A.鼻咽腔偏右侧可见类圆形软组织块影B.肿块内密度尚均匀,其上方见较多钙化影C
[多选题]男,57岁,睡觉打鼾,近来加重,CT扫描如图所示,正确的描述或诊断是()A.鼻咽腔偏右侧可见类圆形软组织块影B.肿块内密度尚均匀,其上方见较多钙化影C
[单选题]女,8岁,头痛,鼻塞半年余,CT如图所示,最可能诊断为 ( )A.鼻咽癌B.鼻咽部炎症C.腺样体肥大D.神经纤维瘤E.咽后脓肿