
A.肝局灶性结节增生
B.肝腺瘤
C.肝血管瘤
D.肝脓肿
E.肝癌
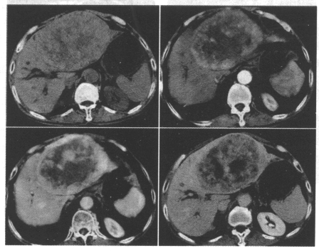
[单选题]患者,男,59岁。肝区疼痛,一月余内体重持续下降,既往有“大三阳”病史。超声提示:肝左叶占位,建议进一步检查。若患者CT检查如下图,首先诊断A.肝局灶
[多选题]患者,男,59岁。肝区疼痛,一月余内体重持续下降,既往有“大三阳”病史。超声提示:肝左叶占位,建议进一步检查。为进一步检查,可行下列哪项检查:A.CT
[多选题]患者,男,59岁。肝区疼痛,一月余内体重持续下降,既往有“大三阳”病史。超声提示:肝左叶占位,建议进一步检查。为进一步检查,可行下列哪项检查:A.CT
[多选题]患者,男,59岁。肝区疼痛,一月余内体重持续下降,既往有“大三阳”病史。超声提示:肝左叶占位,建议进一步检查。下面关于原发性肝癌描述正确的是A.发病与
[多选题]患者,男,59岁。肝区疼痛,一月余内体重持续下降,既往有“大三阳”病史。超声提示:肝左叶占位,建议进一步检查。下面关于原发性肝癌描述正确的是A.发病与
[多选题] 患者,男,59岁。肝区疼痛,一月余内体重持续下降,既往有“大三阳”病史。超声提示:肝左叶占位,建议进一步检查。为进一步检查,可行下列哪项检查()A . CT平扫+增强扫描B . MRI平扫+增强扫描C . DSAD . 血AFP检查E . PET/CT
[单选题]患者女,56岁,右侧耳鸣1年,听力下降3个月。病例诊断为(提示进一步MR检查结果如下图。)A.CPA区脑膜瘤B.CPA区听神经鞘瘤C.三叉神经鞘瘤D.
[单选题]患者女,56岁,右侧耳鸣1年,听力下降3个月。病例诊断为(提示进一步MR检查结果如下图。)A.CPA区脑膜瘤B.CPA区听神经鞘瘤C.三叉神经鞘瘤D.
[单选题,案例分析题] 患者,男,45岁,头痛半年,CT检查如下图。进一步检查,最佳的检查方法是()A .MRIB . MRAC . 增强扫描D . DSAE . 手术切开F . 以上都不是
[单选题]男,69岁,肝区疼痛,消瘦乏力三月余,CT检查如图,请作出最可能诊断()A.肝囊肿B.肝脓肿C.肝血管瘤D.肝转移瘤E.巨块型肝癌