
A.ATF1
B.APC
C.ASPL
D.ALK
E.KIT
[多选题]患者男,3岁,因“腹痛”来诊。剖腹探查:肠系膜上有一肿块,累及小肠。镜下形态如图所示。如行免疫组织化学标记,该肿瘤可能会表达A.CD21B.desmi
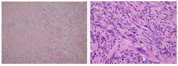
[单选题]患者男,3岁,因“腹痛”来诊。剖腹探查:肠系膜上有一肿块,累及小肠。镜下形态如图所示。最可能的诊断是A.炎性纤维性息肉B.炎性肌成纤维细胞瘤C.胃肠道
[单选题]患者男,3岁,因“腹痛”来诊。剖腹探查:肠系膜上有一肿块,累及小肠。镜下形态如图所示。最可能的诊断是A.炎性纤维性息肉B.炎性肌成纤维细胞瘤C.胃肠道
[单选题]患者男,3岁,因“腹痛”来诊。剖腹探查:肠系膜上有一肿块,累及小肠。镜下形态如图所示。该肿瘤常有分子遗传学异常,表现的基因是A.ATF1B.APCC.
[多选题]患者男,3岁,因“腹痛”来诊。剖腹探查:肠系膜上有一肿块,累及小肠。镜下形态如图所示。如行免疫组织化学标记,该肿瘤可能会表达A.CD21B.desmi
[单选题]所围成的闭曲面∑外侧的通量为( ).A.B.C.D.
[单选题]( ).A.B.C.D.
[单选题]所围成的闭曲面∑外侧的通量为( ).A.B.C.D.
[单选题]( ).A.B.C.D.
[单选题]( ).A.B.C.D.