[多选题]

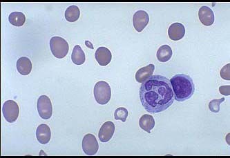
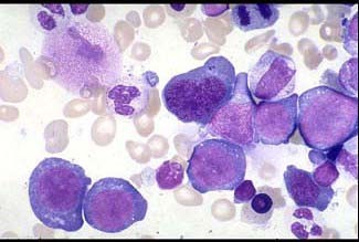
某贫血患者的血涂片、骨髓涂片、PAS染色分别如图所示,下列说法正确的是()

A.该患者为大细胞正色素性贫血

B.MCV升高,MCH升高,MCHC正常,RDW升高

C.这类贫血患者血涂片上可见点彩红细胞、H-J小体及有核红细胞

D.细胞内外铁均增高

E.白细胞数正常或减低

参考答案与解析:

相关试题

某贫血患者的血涂片、骨髓涂片、PAS染色分别如图所示,下列说法正确的是()<img border="0" style="width: 333px; height: