
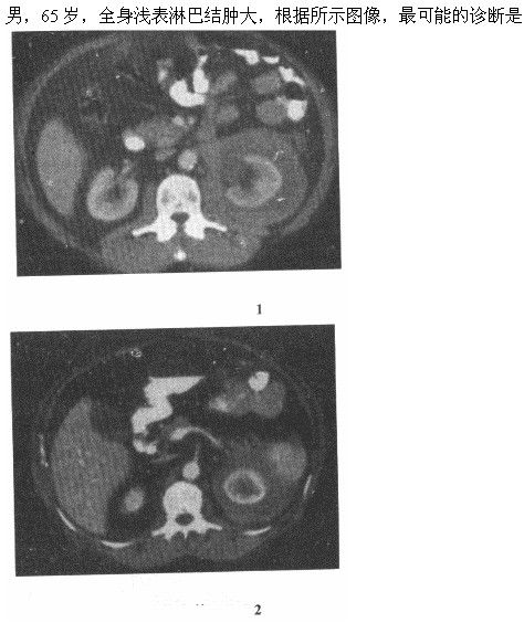
A.左侧肾癌
B.左肾转移癌
C.淋巴瘤左肾周浸润
D.左肾外伤出血
E.尿外渗
[单选题]A.二进制编码B.曼彻斯特编码C.差分曼彻斯特编码D.归零编码
[单选题]A.二进制编码B.曼彻斯特编码C.差分曼彻斯特编码D.归零编码
[单选题]A.因电阻R未知,而无法求出B.3AC.2AD.-2A
[单选题]A.因电阻R未知,而无法求出B.3AC.2AD.-2A
[单选题]A.生理盐水B.葡萄糖溶液C.双氧水D.声振微气泡造影剂E.一氧化碳气体
[单选题]A.生理盐水B.葡萄糖溶液C.双氧水D.声振微气泡造影剂E.一氧化碳气体
[单选题]A.位于外眦垂直线上B.位于内眦垂直线上C.位于侧切牙与尖牙之间D.位于尖牙与第一前磨牙之间E.第一前磨牙与第二前磨牙之间
[单选题]A.二进制编码B.曼彻斯特编码C.差分曼彻斯特编码D.归零编码
[单选题]A.肾上腺增生B.肾上腺腺瘤C.肾上腺腺癌D.肾上腺囊肿E.嗜铬细胞瘤
[单选题]A.肾上腺增生B.肾上腺腺瘤C.肾上腺腺癌D.肾上腺囊肿E.嗜铬细胞瘤