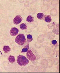
[多选题]

某患者血涂片和骨髓涂片分别见图,该患者可能为()

A.巨幼细胞贫血

B.再障

C.缺铁性贫血

D.慢性失血

E.急性失血

参考答案与解析:

相关试题

某患者血涂片和骨髓涂片分别见图,该患者可能为()<img border="0" style="width: 186px; height: 233px;"

[多选题]某患者血涂片和骨髓涂片分别见图,该患者可能为()A.巨幼细胞贫血B.再障C.缺铁性贫血D.慢性失血E.急性失血

  • 查看答案
  • 某患者血涂片和骨髓涂片分别见图,该患者可能为()<img border="0" style="width: 186px; height: 233px;"

    [多选题]某患者血涂片和骨髓涂片分别见图,该患者可能为()A.巨幼细胞贫血B.再障C.缺铁性贫血D.慢性失血E.急性失血

  • 查看答案
  • 某患者血涂片和骨髓涂片分别见图,该患者可能为()<img border="0" style="width: 186px; height: 233px;"

    [多选题]某患者血涂片和骨髓涂片分别见图,该患者可能为()A.巨幼细胞贫血B.再障C.缺铁性贫血D.慢性失血E.急性失血

  • 查看答案
  • 某患者血涂片和骨髓涂片分别见图,该患者可能为()<img border="0" style="width: 186px; height: 233px;"

    [多选题]某患者血涂片和骨髓涂片分别见图,该患者可能为()A.巨幼细胞贫血B.再障C.缺铁性贫血D.慢性失血E.急性失血

  • 查看答案
  • 某患者血涂片和骨髓涂片分别见图,该患者可能为()<img border="0" style="width: 186px; height: 233px;"

    [多选题]某患者血涂片和骨髓涂片分别见图,该患者可能为()A.巨幼细胞贫血B.再障C.缺铁性贫血D.慢性失血E.急性失血

  • 查看答案
  • 某患者血涂片见图1,骨髓涂片见图2,该患者可能为()<img border="0" style="width: 179px; height: 222px;"

    [多选题]某患者血涂片见图1,骨髓涂片见图2,该患者可能为()A.温抗体型自身免疫性溶血性贫血B.巨幼细胞贫血C.阵发性冷性血红蛋白尿症D.遗传性球形红细胞增多

  • 查看答案
  • 某患者血涂片见图1,骨髓涂片见图2,该患者可能为()<img border="0" style="width: 179px; height: 222px;"

    [多选题]某患者血涂片见图1,骨髓涂片见图2,该患者可能为()A.温抗体型自身免疫性溶血性贫血B.巨幼细胞贫血C.阵发性冷性血红蛋白尿症D.遗传性球形红细胞增多

  • 查看答案
  • 某患者血涂片见图1,骨髓涂片见图2,该患者可能为()<img border="0" style="width: 179px; height: 222px;"

    [多选题]某患者血涂片见图1,骨髓涂片见图2,该患者可能为()A.温抗体型自身免疫性溶血性贫血B.巨幼细胞贫血C.阵发性冷性血红蛋白尿症D.遗传性球形红细胞增多

  • 查看答案
  • 某患者血涂片见图1,骨髓涂片见图2,该患者可能为()<img border="0" style="width: 179px; height: 222px;"

    [多选题]某患者血涂片见图1,骨髓涂片见图2,该患者可能为()A.温抗体型自身免疫性溶血性贫血B.巨幼细胞贫血C.阵发性冷性血红蛋白尿症D.遗传性球形红细胞增多

  • 查看答案
  • 某患者血涂片见图1,骨髓涂片见图2,该患者可能为()<img border="0" style="width: 179px; height: 222px;"

    [多选题]某患者血涂片见图1,骨髓涂片见图2,该患者可能为()A.温抗体型自身免疫性溶血性贫血B.巨幼细胞贫血C.阵发性冷性血红蛋白尿症D.遗传性球形红细胞增多

  • 查看答案
  • 某患者血涂片和骨髓涂片分别见图,该患者可能为()<img border="0" style="width: 186px; height: 233px;"