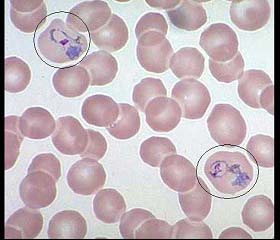
[单选题]

如图,圈中所示红细胞中的异常结构为()

A.卡波环

B.嗜碱性点彩红细胞

C.H-J小体

D.网织红细胞

E.疟原虫

参考答案与解析:

相关试题

如图,圈中所示红细胞中的异常结构为()<img border="0" style="width: 280px; height: 240px;" src=&

[单选题]如图,圈中所示红细胞中的异常结构为()A.卡波环B.嗜碱性点彩红细胞C.H-J小体D.网织红细胞E.疟原虫

  • 查看答案
  • 图所示细胞为()<img border="0" style="width: 280px; height: 269px;" src="https:

    [单选题]图所示细胞为()A.点彩红细胞B.网织红细胞C.嗜多色红细胞D.红细胞着色不一E.白细胞

  • 查看答案
  • 如图箭头所示为大脑哪个部位()<img border="0" style="width: 280px; height: 210px;" src="

    [单选题]如图箭头所示为大脑哪个部位()A.中央前回B.旁中央小叶C.中央后回D.枕叶E.额叶

  • 查看答案
  • 图中所示红细胞异常结构为()<img border="0" style="width: 164px; height: 231px;" src="

    [单选题]图中所示红细胞异常结构为()A.H-J小体B.杜勒小体C.嗜碱性点彩红细胞D.疟原虫E.网织红细胞

  • 查看答案
  • 图中所示红细胞异常结构为()<img border="0" style="width: 164px; height: 231px;" src="

    [单选题]图中所示红细胞异常结构为()A.H-J小体B.杜勒小体C.嗜碱性点彩红细胞D.疟原虫E.网织红细胞

  • 查看答案
  • 如图所示的异常红细胞结构为()<img border="0" style="width: 251px; height: 293px;" src="

    [多选题]如图所示的异常红细胞结构为()A.嗜碱性点彩红细胞B.H-J小体C.网织红细胞D.疟原虫E.卡波环

  • 查看答案
  • 如图所示的异常红细胞结构为()<img border="0" style="width: 251px; height: 293px;" src="

    [多选题]如图所示的异常红细胞结构为()A.嗜碱性点彩红细胞B.H-J小体C.网织红细胞D.疟原虫E.卡波环

  • 查看答案
  • 如图所示的异常红细胞结构为()<img border="0" style="width: 251px; height: 293px;" src="

    [多选题]如图所示的异常红细胞结构为()A.嗜碱性点彩红细胞B.H-J小体C.网织红细胞D.疟原虫E.卡波环

  • 查看答案
  • 如图所示的异常红细胞结构为()<img border="0" style="width: 251px; height: 293px;" src="

    [多选题]如图所示的异常红细胞结构为()A.嗜碱性点彩红细胞B.H-J小体C.网织红细胞D.疟原虫E.卡波环

  • 查看答案
  • 如图(革兰染色)所示微生物为:()<img border="0" style="width: 298px; height: 280px;" src=&qu

    [单选题]如图(革兰染色)所示微生物为:()A.革兰阳性球菌B.革兰阴性球菌C.革兰阳性杆菌D.革兰阴性杆菌E.酵母样真菌

  • 查看答案
  • 如图,圈中所示红细胞中的异常结构为()<img border="0" style="width: 280px; height: 240px;" src=&