[单选题]

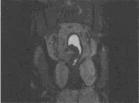
男,70岁,下腹部腹胀、腹痛、排便困难,逐渐加重,MRI示直肠内不规则充盈缺损,最可能的诊断是

A.直肠息肉

B.直肠癌

C.直肠间质瘤

D.直肠转移癌

E.直肠淋巴瘤

参考答案与解析:

相关试题

男,70岁,下腹部腹胀、腹痛、排便困难,逐渐加重,MRI示直肠内不规则充盈缺损,最可能的诊断是<img border="0" style="width: 272px