



A.淋巴瘤
B.结节病
C.淋巴结核
D.转移性淋巴肿大
E.胸腺瘤
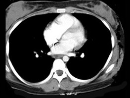
[单选题]7岁,男,发热、消瘦,数月前触及颈部淋巴结肿大,CT和MR检查如图,请选择最可能的诊断()A.淋巴瘤B.结节病C.淋巴结核D.转移性淋巴肿大E.胸腺瘤
[单选题]7岁,男,发热、消瘦,数月前触及颈部淋巴结肿大,CT和MR检查如图,请选择最可能的诊断()A .淋巴瘤B .结节病C .淋巴结核D .转移性淋巴肿大E .胸腺瘤
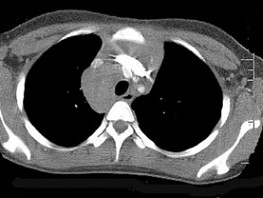
[单选题]女,32岁,发热、消瘦,数月前触及颈部淋巴结肿大,CT和MR检查如图,最可能的诊断是()A .淋巴瘤B .结节病C .淋巴结核D .转移性淋巴肿大E .胸腺瘤
[单选题]女,55岁,胸痛伴咯血丝痰一周,胸部CT如图,最可能的诊断为()A.转移性肺癌B.左侧周围型肺癌并肺内转移C.左侧中央型肺癌并肺内转移D.多发性肺脓肿
[单选题]71岁,女,发现颈部淋巴结肿大,胸片和CT检查如图,请选出最可能的诊断()A.结节病B.淋巴瘤C.淋巴结核D.肺癌E.神经源性肿瘤
[单选题]女,72岁,咳嗽,胸闷,呼吸困难1月余,1年前行结肠癌根治术,CT检查如图,请选择最可能的诊断()A.肺癌B.肺转移瘤C.尘肺D.间质性肺炎E.粟粒型
[单选题]21岁,女,颈部淋巴结肿大,无压痛,请结合CT检查选出最可能的诊断()A.淋巴瘤B.淋巴结核C.结节病D.转移性淋巴结肿大E.间皮囊肿
[单选题]女,23岁,消瘦盗汗1月余,干咳1周,偶痰中带血,影像如图,最可能的诊断为()A.粟粒性肺结核B.含铁血黄素沉着C.弥漫性肺纤维化D.慢性支气管炎E.
[单选题]根据所提供的图像,该患者的最可能的诊断为()A.移植物抗宿主排斥反应B.炎性腹泻C.克罗恩病D.缺血坏死性肠炎E.以上都不是
[单选题]男,32岁,头痛、癫痫,查体发现视乳头水肿,CT检查如图,最可能的诊断为 ( )A.结节状硬化B.钙化灶C.动静脉畸形D.少突胶质瘤E.脑囊虫