



A.囊状水瘤
B.咽部神经鞘瘤
C.咽旁脓肿
D.左侧鳃裂囊肿
E.囊性转移癌
[单选题]男,16岁,头痛、呕吐10天,CT检查如图所示,最可能的诊断为()A.脑膜瘤B.髓母细胞瘤C.室管膜瘤D.脑血管瘤E.血管母细胞瘤
[单选题]女,62岁,头痛,精神焦虑,CT检查如图,最可能的诊断为()A.正常脑CTB.苍白球钙化C.腔隙性脑梗死D.脑出血E.脑萎缩
[单选题]女,19岁,发现左颈部无痛性肿块2年余,可活动,CT如图所示,最可能诊断为()A.淋巴结炎B.淋巴瘤C.转移癌D.淋巴结结核E.巨淋巴结增生症
[单选题]箭头所指的解剖结构是A.桡骨B.肱骨C.桡骨小头D.尺骨鹰嘴E.尺骨头
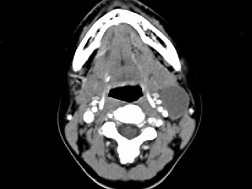
[单选题]女,57岁,颈部不适,CT如图所示,最可能的诊断是A.咽囊囊肿B.鳃裂囊肿C.甲状舌管囊肿D.颈部淋巴管瘤E.颈部神经鞘瘤
[单选题]女,56岁,发现颈部肿块1个月余,CT如图所示,最可能的诊断是A.甲状舌管囊肿B.甲状腺乳头状癌C.甲状腺原发淋巴瘤D.甲状腺腺瘤E.甲状腺脓肿
[单选题]如图所示,人蛲虫寄生于()A.结肠B.十二指肠胃底部C.回肠D.空肠E.盲肠
[单选题]女,57岁,颈部不适,CT如图所示,最可能的诊断是()A.咽囊囊肿B.鳃裂囊肿C.甲状舌管囊肿D.颈部淋巴管瘤E.颈部神经鞘瘤
[单选题]女,57岁,颈部不适,CT如图所示,最可能的诊断是()A.咽囊囊肿B.鳃裂囊肿C.甲状舌管囊肿D.颈部淋巴管瘤E.颈部神经鞘瘤
[单选题]女,57岁,颈部不适,CT如图所示,应诊断为()A.咽囊囊肿B.鳃裂囊肿C.甲状舌管囊肿D.颈部淋巴管瘤E.颈部神经鞘瘤