
A.睾丸卵黄囊瘤
B.睾丸胚胎性癌
C.睾丸精原细胞瘤
D.绒毛膜上皮癌
E.睾丸结核
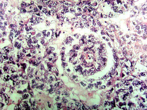
[单选题]男性,3岁,发现阴囊肿块1月余,血AFP(+),HCG(-)。切除右侧睾丸,大体见睾丸内一肿块3cm×2cm×2cm,实性,质地软,切面灰红。镜检肿瘤由疏松网状结构伴蜂窝样微囊组成,囊壁内衬扁平、多形的间皮样细胞,核染色质多,核分裂易见,并见S-D小体(如图),应诊断为()A . 睾丸卵黄囊瘤B . 睾丸胚胎性癌C . 睾丸精原细胞瘤D . 绒毛膜上皮癌E . 睾丸结核
[单选题]男性,3岁,发现阴囊肿块1月余,血AFP(+),HCG(-)。切除右侧睾丸,大体见睾丸内一肿块3cm×2cm×2cm,实性,质地软,切面灰红。镜检肿瘤由疏松网状结构伴蜂窝样微囊组成,囊壁内衬扁平、多形的间皮样细胞,核染色质多,核分裂易见,并见S-D小体(如图),应诊断为()A .睾丸卵黄囊瘤B .睾丸胚胎性癌C .睾丸精原细胞瘤D .绒毛膜上皮癌E .睾丸结核
[单选题]患者男性,25岁,1个月前出现左睾丸疼痛,并可触及左侧睾丸肿块约2cm×1cm×2cm大小,浅表淋巴结未触及肿大,行睾丸切除术病检为精原细胞瘤。进一步
[单选题]患者男性,25岁,1个月前出现左睾丸疼痛,并可触及左侧睾丸肿块约2cm×1cm×2cm大小,浅表淋巴结未触及肿大,行睾丸切除术病检为精原细胞瘤。进一步
[单选题]患者男性,25岁,1个月前出现左睾丸疼痛,并可触及左侧睾丸肿块约2cm×1cm×2cm大小,浅表淋巴结未触及肿大,行睾丸切除术病检为精原细胞瘤。进一步
[单选题]患者男性,25岁,一个月前出现左睾丸疼痛,并可触及左侧睾丸肿块约2cm×1cm×2cm大小,浅表淋巴结未触及肿大,行睾丸切除术病检为精原细胞瘤。进一步
[单选题]患者男性,25岁,一个月前出现左睾丸疼痛,并可触及左侧睾丸肿块约2cm×1cm×2cm大小,浅表淋巴结未触及肿大,行睾丸切除术病检为精原细胞瘤。进一步
[单选题]患者女,56岁,右小腿肿块4.5cm×3cm×2cm,边界清楚,切面灰白质韧。镜下细胞呈多形性,伴有奇异型肿瘤巨细胞及脂肪母细胞样细胞,部分梭形细胞排列成编席状结构,核分裂象多见。免疫组化:Actin(+)、Des(-)、CD68(+)、S-100(-)。诊断为()A .多形性脂肪肉瘤B .多形性横纹肌肉瘤C .多形性恶性纤维组织细胞瘤D . D.平滑肌肉瘤E .纤维肉瘤
[单选题]女,20岁,右颈部包块2年。CT示右颈动脉鞘区有一2cm×3cm囊实性肿块,实性部分增强。最可能的诊断为()A . 腮腺囊肿B . 颈动脉球瘤C . 神经鞘瘤D . 恶性淋巴瘤E . 腮裂囊肿
[单选题]女,20岁,右颈部包块2年。CT示右颈动脉鞘区有-2cm×3cm囊实性肿块,实性部分增强。最可能的诊断为()A . 腮腺囊肿B . 颈动脉体瘤C . 神经鞘瘤D . 恶性淋巴瘤E . 腮裂囊肿