



A.骨囊肿
B.骨肉瘤
C.尤文肉瘤
D.骨巨细胞瘤
E.动脉瘤样骨囊肿
[单选题]女,40岁,视力下降,结合CT图像,最可能的诊断是()A.多发性硬化B.脑出血C.脑梗死D.颅脑外伤E.正常脑实质
[单选题]女,52岁,足跟痛,手指运动僵硬,结合图像,最可能的诊断是()A.骨质疏松症B.骨脓肿C.骨囊肿D.骨折E.类风湿关节炎
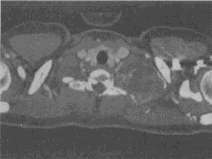
[单选题]结合所示图像,该患儿的最可能的诊断是()A.肾上腺腺瘤B.双侧肾上腺嗜铬细胞瘤C.转移癌D.肾上腺出血E.肾上腺腺癌
[单选题]女,18岁,左锁骨部疼痛、肿胀,无发热,结合图像,最可能的诊断是()A.骨囊肿B.骨肉瘤C.尤文肉瘤D.骨巨细胞瘤E.动脉瘤样骨囊肿
[单选题]男,64岁,咳嗽半月,咯血1天,不发热,结合图像,最可能的诊断是()A.金葡菌肺炎B.肺转移瘤C.肺结核D.结节病E.组织胞浆菌病
[单选题]男2岁,左侧胸痛、气促,如图所示,最可能的诊断为()A.左肺肺不张B.左侧胸腔积液C.左侧胸膜肥厚D.右肺肺气肿E.以上都不正确
[单选题]早期缺铁性贫血多为()A.正细胞正色素性贫血B.小细胞正色素性贫血C.小细胞低色素性贫血D.大细胞低色素性贫血E.大细胞性贫血
[单选题]早期缺铁性贫血多为()A.正细胞正色素性贫血B.小细胞正色素性贫血C.小细胞低色素性贫血D.大细胞低色素性贫血E.大细胞性贫血
[单选题]如图箭头所示为大脑哪个部位()A.前连合B.透明隔C.室间孔D.穹窿E.中脑导水管
[单选题]如图箭头所示为大脑哪个部位()A.壳核B.颞叶C.尾状核D.岛叶E.海马