


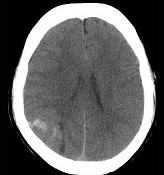
A.脑出血
B.脑血管畸形并出血
C.脑膜瘤并出血
D.颅内动脉瘤
E.转移瘤并出血
[单选题]男,20岁,头痛、鼻塞、鼻出血,CT如图所示,最可能诊断为()A.鼻咽癌B.巨大的鼻息肉C.鼻咽纤维血管瘤D.鼻咽神经纤维瘤E.鼻咽腺样体增生
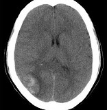
[单选题]女,60岁.头痛不适,CT强化如图,最可能的诊断是A.转移瘤B.脑膜瘤C.室管膜瘤D.海绵状血管瘤E.动脉瘤
[单选题]女,60岁.头痛不适,CT强化如图,最可能的诊断是A.转移瘤B.脑膜瘤C.室管膜瘤D.海绵状血管瘤E.动脉瘤
[单选题]男,16岁,头痛、呕吐10天,CT检查如图所示,最可能的诊断为()A.脑膜瘤B.髓母细胞瘤C.室管膜瘤D.脑血管瘤E.血管母细胞瘤
[单选题]女,8岁,头痛,鼻塞半年余,CT如图所示,最可能诊断为 ( )A.鼻咽癌B.鼻咽部炎症C.腺样体肥大D.神经纤维瘤E.咽后脓肿
[单选题]男,48岁,胃癌术后1年,未化疗,CT检查如图所示,最可能诊断为()A.肝癌B.肝转移癌C.肝血管瘤D.肝脓肿E.肝囊肿
[单选题]男,48岁,胃癌术后1年,未化疗,CT检查如图所示,最可能诊断为()A.肝癌B.肝转移癌C.肝血管瘤D.肝脓肿E.肝囊肿
[单选题]男,37岁,头痛、头晕1年余,加重3天,CT检查如图所示,最可能的诊断为()A .脑出血B .脑血管畸形并出血C .脑膜瘤并出血D .颅内动脉瘤E .转移瘤并出血
[单选题]女,8岁,头痛,鼻塞半年余,CT如图所示,最可能诊断为()A.鼻咽癌B.鼻咽部炎症C.腺样体肥大D.神经纤维瘤E.咽后脓肿
[单选题]女,64岁,发现双甲状腺肿大1月余,CT如图所示,最可能诊断为()A.结节性甲状腺肿B.甲状腺腺瘤C.甲状腺癌并淋巴结转移D.甲状腺转移瘤E.甲状腺结