

A.肺梗死
B.粟粒性肺结核
C.骨肉瘤转移
D.结节病
E.错构瘤
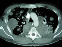
[单选题]33岁,男,咳嗽1周,有骨肉瘤病史,请结合胸片和CT选出最可能的诊断()A.肺梗死B.粟粒性肺结核C.骨肉瘤转移D.结节病E.错构瘤
[单选题]男,33岁,咳嗽1周,有骨肉瘤病史,结合CT,最可能的诊断是( )。图1图2A.肺梗死B.粟粒型肺结核C.肺骨肉瘤转移D.结节病E.错构瘤
[单选题]33岁,男,咳嗽1周,有骨肉瘤病史,请结合胸片和CT图,选出最可能的诊断()A .肺梗死B .粟粒性肺结核C .骨肉瘤转移D .结节病E .错构瘤
[单选题]33岁,男,咳嗽1周,有骨肉瘤病史,请结合胸片和CT选出最可能的诊断A . 肺梗死B . 粟粒性肺结核C . 骨肉瘤转移D . 结节病E . 错构瘤
[单选题]男,50岁,腰背痛,请结合图像,选出最可能的诊断()A.椎体融合B.L隐性脊椎裂C.移行椎D.L椎弓峡部不连及L滑脱E.L~S椎间盘突出
[单选题]18岁,男,咳嗽头晕1个月,请结合胸片和CT检查图,选出最可能的诊断()A.胸腺瘤B.淋巴瘤C.畸胎瘤D.胸内甲状腺瘤E.神经源性肿瘤
[单选题]71岁,男,消瘦、咳嗽、胸痛,请结合胸片和CT,选出最可能的诊断()A.脂肪肉瘤B.心包脂肪垫C.脂肪蓄积症D.胸腺脂肪瘤E.胸腺囊肿
[单选题]56岁,男,意识错乱情绪不稳定1周,请结合胸片和CT图,选出最可能的诊断()A.肺癌B.错构瘤C.胸内甲状腺肿D.韦格肉芽肿E.胸腺瘤
[单选题]男,54岁,发热、胸痛1月余,继往有酗酒史,结合CT图像,最可能的诊断是()A.脓胸B.肺脓肿C.大叶性肺炎D.肺囊虫病E.肺癌
[单选题]男,26岁,发热,夜间盗汗,咳嗽半月余,请结合CT检查选出最可能的诊断()A.粟粒型肺结核B.间质性肺炎C.弥漫型肺癌D.肺转移瘤E.硅沉着病