

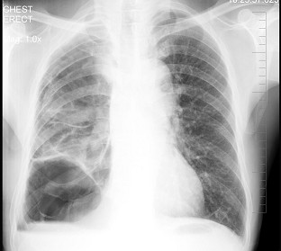
A.右侧肺大疱
B.右侧气胸
C.右侧肺脓肿
D.右侧胸膜肥厚
E.气胸
[单选题]男,62岁,常感胸闷、气逼,X线检查如图,最可能的诊断是()A.右侧肺大泡B.右侧气胸C.右侧肺脓肿D.右侧胸膜肥厚E.右侧肺气肿
[单选题]超声检查如图,最可能的诊断是()A.无子宫B.幼稚子宫C.始基子宫D.正常子宫E.以上都不是
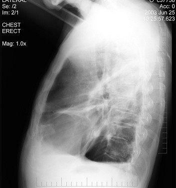
[单选题]男,48岁,常感胸闷气逼,近1月渐加重,X线检查如图,最可能的诊断是()A.右侧气胸B.右侧肺大泡C.两肺肺大泡D.正常胸片E.肺气肿
[单选题]根据图像,最可能的诊断是()A.肺气肿B.慢性支气管炎C.气胸D.纵隔气肿E.肺转移瘤
[单选题]女性,32岁,感胸闷、胸痛,X线检查如图,最可能的诊断是()A.畸胎瘤B.胸腺瘤C.淋巴瘤D.胸内甲状腺肿大E.胸腔积液
[单选题]男性患者,62岁,常感胸闷、气逼,X线检查如图,最可能的诊断是()A .右侧肺大疱B .右侧气胸C .右侧肺脓肿D .右侧胸膜肥厚E .气胸
[单选题]女,32岁,感胸闷、胸痛,X线检查如图,最可能的诊断是()A.畸胎瘤B.胸腺瘤C.淋巴瘤D.胸骨后甲状腺肿E.神经源性肿瘤
[单选题]患者女性,70岁,胸闷、气逼数年,无明显发热、胸痛,如图最可能的诊断是()A.心包积液并右水平裂积液B.心包积液并右下肺炎C.心包积液并右斜裂积液D.
[单选题]男,19岁,感胸闷、胸前区隐痛,X线检查如图,最可能的诊断是()A.胸膜肥厚B.肺部炎症C.前纵隔肿瘤D.中纵隔肿瘤E.后纵隔肿瘤