
A.乳腺纤维腺瘤
B.乳腺小叶癌
C.乳腺增生性纤维囊性变
D.浸润性导管癌
E.硬化性腺病
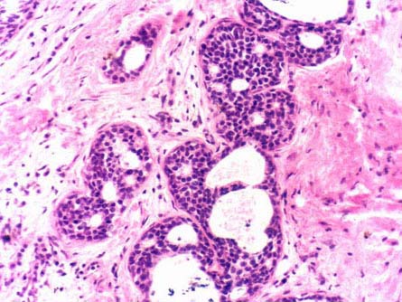
[单选题]患者女性,45岁。左乳腺包块2年,镜检如图所示乳腺小叶导管和腺泡上皮细胞的增生、导管囊状扩张,层次增多,轻度异型,局部呈筛状结构,间质纤维组织增生。则该病变的诊断是()A . 乳腺纤维腺瘤B . 乳腺小叶癌C . 乳腺增生性纤维囊性变D . 浸润性导管癌E . 硬化性腺病
[单选题]45岁男性,双侧乳腺增大,镜下见乳腺导管增生,导管周围为黏液性间质,小叶结构很少,应诊断为A.纤维腺瘤B.男性乳腺发育C.单纯性腺病D.管状腺瘤E.普通导管上皮增生
[单选题]45岁男性,双侧乳腺增大,镜下见乳腺导管增生,导管周围为黏液性间质,小叶结构很少,应诊断为()A .纤维腺瘤B .男性乳腺发育C .单纯性腺病D . D.管状腺瘤E .普通导管上皮增生
[单选题]45岁男性,双侧乳腺增大,镜下见乳腺导管增生,导管周围为黏液性间质,小叶结构很少,应诊断为( )。A.管状腺瘤B.纤维腺瘤C.单纯性腺病D.男性乳腺
[单选题]45岁男性,双侧乳腺增大,镜下见乳腺导管增生,导管周围为黏液性间质,小叶结构很少,应诊断为A.纤维腺瘤B.男性乳腺发育C.单纯性腺病D.管状腺瘤E.普
[单选题]主要表现为小叶内导管囊状扩张,导管上皮增生的病变见于()A.慢性复发性腮腺炎B.坏死性涎腺化生C.涎腺症D.舍格伦综合征E.涎腺结核
[单选题]主要表现为小叶内导管囊状扩张,导管上皮增生的病变见于A.慢性复发性腮腺炎B.坏死性涎腺化生C.涎腺症D.舍格伦综合征E.涎腺结核
[单选题]主要表现为小叶内导管囊状扩张,导管上皮增生的病变见于()A . 慢性复发性腮腺炎B . 坏死性涎腺化生C . 涎腺症D . 舍格伦综合征E . 涎腺结核
[单选题,A1型题] 主要表现为小叶内导管囊状扩张,导管上皮增生的病变见于()。A . 慢性复发性腮腺炎B . 坏死性唾液腺化生C . 唾液腺症D . 舍格伦综合征E . 唾液腺结核
[判断题] 男性乳腺发育镜下表现导管数目增多,导管周围纤维增生,常有小叶形成。A . 正确B . 错误