
A.左肱骨小头骨骺损伤
B.左肱骨髁上骨折
C.左肱骨外上髁骨骺损伤
D.左肱骨内髁骨骺损伤
E.左肱骨外髁骨骺损伤
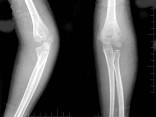
[单选题]女,6岁,外伤后左肘部肿痛,活动受限,外髁局部压痛,X线摄片如图,最可能的诊断是()A .左肱骨小头骨骺损伤B .左肱骨髁上骨折C .左肱骨外上髁骨骺损伤D .左肱骨内髁骨骺损伤E .左肱骨外髁骨骺损伤
[单选题]6岁女性患者,因外伤后致左肘关节肿痛,活动受限,外髁局部压痛明显X线摄片如图,最合适的诊断是()A.左肱骨小头骨骺Ⅰ度分离B.左肱骨小头骨骺Ⅱ度分离C
[单选题]6岁女性患者,因外伤后致左肘关节肿痛,活动受限,外踝局部压痛明显X线摄片如图,最合适的诊断是 ( )A.左肱骨小头骨骺Ⅰ度分离B.左肱骨小头骨骺Ⅱ度分
[单选题]6岁女性患者,因外伤后致左肘关节肿痛,活动受限,外髁局部压痛明显X线摄片如图,最合适的诊断是()A . 左肱骨小头骨骺Ⅰ度分离B . 左肱骨小头骨骺Ⅱ度分离C . 左肱骨小头骨骺Ⅲ度分离D . 左肱骨小头骨骺Ⅳ度分离E . 左肱骨小头骨骺Ⅴ度分离
[单选题]男,60岁,因双髋关节反复疼痛2年余,无明显外伤史,X线摄片如图,最可能的诊断是()A.双髋关节退行性骨关节病B.双髋关节创伤性关节炎C.双髋关节特发
[单选题]男,32岁,因车祸致右髋关节肿痛,活动受限摄片如图示,最可能的诊断是()A.骨盆Ⅰ型骨折B.骨盆Ⅱ型骨折C.骨盆Ⅲ型骨折D.骨盆Ⅳ型骨折E.以上均不是
[单选题]8岁男孩,外伤后感左肘关节肿痛,行左肘关节正侧位摄片如图所示,最可能的诊断是()A.左肱骨髁上骨折B.左肱骨小头骨骺Ⅰ度分离C.左肱骨髁上细微骨折D.
[单选题]男,41岁,中上腹腹痛,钡餐检查如图,最可能的诊断是()A.溃疡型胃癌B.胃溃疡C.胃肉瘤D.胃间质瘤E.胃淋巴瘤
[单选题]女,35岁,摔伤后左髋部剧痛,活动受限6小时,请结合影像学检查,选出最可能的诊断()A.股骨颈骨折B.股骨头骨折C.骨盆骨折D.加莱阿奇骨折E.肱骨骨
[单选题]男,25岁,外伤后摄片,结合图像,最可能的诊断是()A.肋骨骨折B.锁骨骨折C.原发性气胸D.肋骨骨折伴气胸E.锁骨骨折伴气胸