



临床上,用于观察白质疏松的最佳序列是()A.T2WI
B.TIWI
C.FLAIR
D.DWI
E.GRE
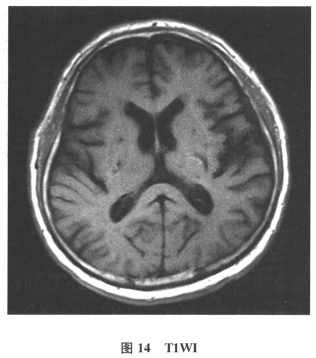
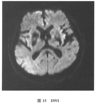
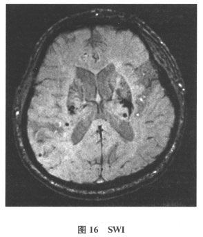
[多选题]患者男,61岁。因“发作性头晕2年,加重伴记忆力下降、走路不稳3月余”就诊。查体:BP140/70mmHg;意识清楚,构音障碍,近期记忆力及远期记忆力
[单选题]患者男,61岁。因“发作性头晕2年,加重伴记忆力下降、走路不稳3月余”就诊。查体:BP140/70mmHg;意识清楚,构音障碍,近期记忆力及远期记忆力
[多选题]患者男,61岁。因“发作性头晕2年,加重伴记忆力下降、走路不稳3月余”就诊。查体:BP140/70mmHg;意识清楚,构音障碍,近期记忆力及远期记忆力
[多选题]患者男,61岁。因“发作性头晕2年,加重伴记忆力下降、走路不稳3月余”就诊。查体:BP140/70mmHg;意识清楚,构音障碍,近期记忆力及远期记忆力
[单选题]患者,男,65岁,因“记忆力减退2年,近期记忆力明显下降”来诊。患者计算能力下降,语量减少。无运动障碍,颅脑CT未见缺血、出血灶。有可能的诊断为A.阿尔茨海默病B.额颞叶痴呆C.血管性痴呆D.路易体痴呆E.帕金森病
[单选题,A型题] 患者智能减退,记忆力、计算力、定向力、判断力明显减退,神情呆钝,词不达意,头晕耳鸣,懈怠思卧,齿枯发焦,腰酸骨软,步履艰难,舌瘦色淡,苔薄白,脉沉细弱。可诊断为()A . 肝肾阴虚证B . 脾肾两虚证C . 痰浊蒙窍证D . 髓海不足证E . 瘀血内阻证
[单选题]智能减退,记忆力、计算力、定向力、判断力明显减退,神情呆钝。词不达意。头晕耳鸣,懈惰思卧,齿枯发焦,腰酸骨软。步履艰难,舌瘦色淡,苔薄白,脉沉细弱。可诊断为()A .髓海不足B .脾肾两虚证C .痰浊蒙窍证D .肝肾阴虚证E .瘀血内阻证
[单选题]智能减退,记忆力、计算力、定向力、判断力明显减退,神情呆钝,词不达意,头晕耳鸣,懈惰思卧,齿枯发焦。腰酸骨软,步履艰难,舌瘦色淡,苔薄白,脉沉细弱。可诊断为()A . 髓海不足证B . 脾肾两虚证C . 痰浊蒙窍证D . 肝肾阴虚证E . 瘀血内阻证
[单选题]A.lzheimer病的早期主要表现为A.定向力障碍B.近记忆力减退C.远记忆力减退D.语言障碍E.运动障碍
[单选题]患者男,53岁。头痛、焦虑伴记忆力下降6月。查体:神志清,焦虑神情,近期记忆力明显减退,眼底视乳头水肿。根据临床表现,其定位诊断考虑为A.额叶前部B.额叶凸面C.额叶眶面D.颞叶E.胼胝体