



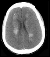
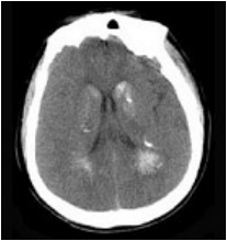
A.脑血管畸形
B.结节性硬化
C.甲状旁腺低功能下
D.脑颜面血管瘤
E.转移瘤
[单选题]男,18岁,无明显症状,CT检查如图。最可能的诊断为()A.左下肺膈疝B.左下肺肺隔离症C.左下肺癌D.神经纤维瘤E.左下肺肺炎
[单选题]男,59岁,右侧腰背酸痛,CT检查如图所示,应诊断为()A.右肾上腺腺瘤B.右肾上腺转移瘤C.右肾上腺髓样脂肪瘤D.右腹膜后脂肪瘤E.右肾血管平滑肌脂
[单选题]男,52岁,无明显不适,CT检查,最可能的诊断为()A.脑血管畸形B.结节性硬化C.甲状旁腺功能低下D.脑颜面血管瘤病E.转移瘤
[单选题]女,53岁,右侧轻度腰背酸痛,行CT检查,如图所示,可能的诊断为()A.右肾上腺髓样脂肪瘤B.右肾上腺腺瘤C.右肾上腺嗜铬细胞瘤D.右腹膜后脂肪瘤E.
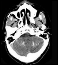
[单选题]男,7岁,无明显症状,CT如图所示,最可能的诊断是()A.上颌窦淋巴瘤B.上颌窦炎C.上颌窦粘膜下囊肿D.上颌窦乳头状瘤E.鼻炎及副鼻窦粘膜下囊肿
[单选题]男,7岁,无明显症状,CT如图所示,最可能的诊断是()A.上颌窦淋巴瘤B.上颌窦炎C.上颌窦粘膜下囊肿D.上颌窦乳头状瘤E.鼻炎及副鼻窦粘膜下囊肿
[单选题]女,23岁,满月脸、向心性肥胖,CT扫描如图所示,应诊断为()A.右侧肾上腺增生B.右侧肾上腺腺瘤C.右侧肾上腺腺癌D.右侧肾上腺嗜铬细胞瘤E.右侧肾
[单选题]男,45岁,无明显外伤史,腹部CT如图所示,最可能的诊断为A.脾破裂B.脾淋巴瘤C.脾梗死D.脾囊肿E.脾血管瘤
[单选题]男,7岁,无意发现鼻腔肿物,无明显症状,CT如图所示,最可能诊断为 ( )A.鼻淋巴瘤B.鼻炎C.鼻炎鼻息肉D.鼻乳头状瘤E.鼻炎及副鼻窦粘膜下囊肿
[单选题]男性,28岁,左腰背酸胀5个月,CT检查如图所示,应诊断为()A.左肾上腺髓样脂肪瘤B.左肾上腺错构瘤C.左肾上腺嗜铬细胞瘤D.左肾上腺腺瘤E.左肾上